Makula-Erkrankungen

Makula-Erkrankungen - Prof. Dr. Dr.  Nikolaus Luft, FEBO, FWCRS - Augenarzt Linz 4020
1/4
Makula-Erkrankungen - Prof. Dr. Dr.  Nikolaus Luft, FEBO, FWCRS - Augenarzt Linz 4020
2/4
Makula-Erkrankungen - Prof. Dr. Dr.  Nikolaus Luft, FEBO, FWCRS - Augenarzt Linz 4020
3/4
Makula-Erkrankungen - Prof. Dr. Dr.  Nikolaus Luft, FEBO, FWCRS - Augenarzt Linz 4020
4/4

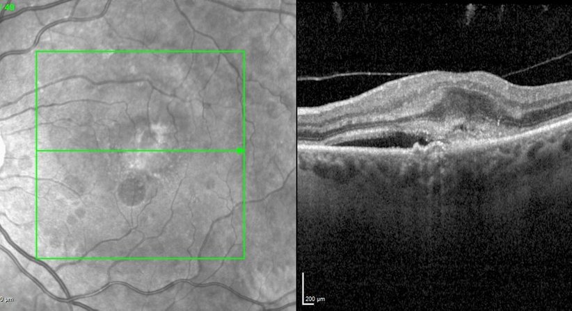
Erkrankungen der Makula kann der Augenarzt mittels eines Mikroskops (sog. Funduskopie) und unterstützend mittels einer hochauflösenden Laser-Schichtbildaufnahme (sog. OCT, optische Kohärenz Tomographie) des Netzhautgewebes diagnostizieren, beurteilen und kontrollieren. Vor allem bei Diabetikern und Patienten mit altersbedingten Netzhauterkrankungen (z.B. altersbedingte Makuladegeneration oder feuchte AMD) sollten regelmäßige Kontrollen der Netzhaut durchgeführt werden. Wir bieten unseren Patienten auch zur Vorsorge hochauflösende OCT-Untersuchungen der Makula an.

 

Zur Therapie von Erkrankungen der Makula (z.B. feuchte Makuladegeneration) bieten wir in unserer Ordination sämtliche klinisch verfügbare Behandlungsmethoden im Sinne von intravitrealer Medikamentenapplikation (IVOM) als ambulante Leistung an.

Erweitertes Profil (entgeltlich). Aktualität, Richtigkeit und Vollständigkeit der Daten ohne Gewähr.