2D, 3D, 4D Ultraschall




Die Ultraschalluntersuchung ist heute von einer kompetenten Frauenarzt-Praxis nicht mehr wegzudenken.
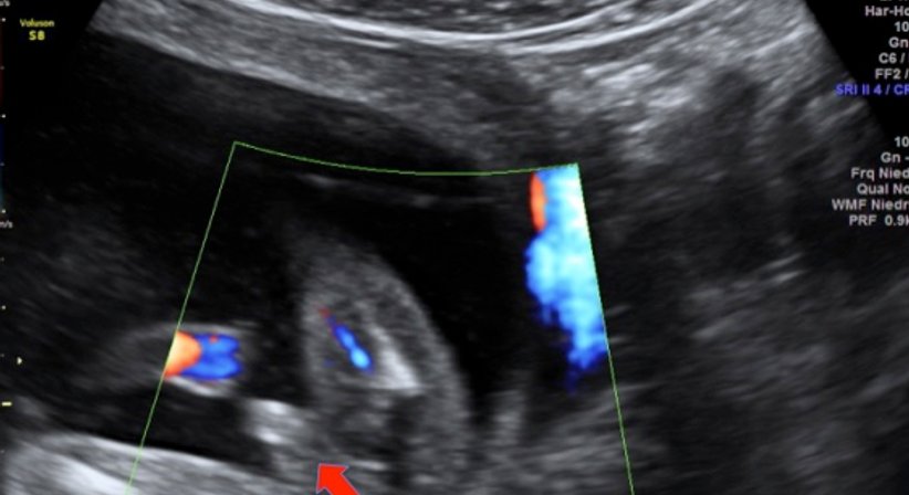
Wir verfügen seit 2015 über ein extrem hochwertiges Ultraschallgerät, das neben einer sehr guten Bildauflösung Techniken wie 3D Ultraschall, 4D Ultraschall und verbesserten Dopplerultraschall bietet. Ich selbst bin für diese Techniken sowie die Nackenfaltenmessungen (in der Frühschwangerschaft) zertifiziert. Bilder und Filme werden auf Wunsch auf einen USB-stick gespielt, sodass man diese mit nach Hause nehmen kann.
Bedeutung des Ultraschalls in der Gynäkologie
Bei nahezu allen gynäkologischen Untersuchungen mache ich natürlich auch eine Ultraschalluntersuchung des kleinen Beckens. Durch die sog. Vaginalsonde kann man sämtliche Strukturen exakt darstellen und mit der Patientin besprechen. Vor allem bei Eierstockzysten, Menstruationsstörungen und bei entzündlichen Veränderungen, wie Abszessbildungen u.a. ist der Ultraschall äußerst wichtig.
Bedeutung des Ultraschalls in der Schwangerschaft
Mit verschiedenen Methoden können wir heute beurteilen, ob während der Schwangerschaft mit Mutter und Kind alles in Ordnung ist, oder ob Risiken vorliegen. Der Ultraschall hilft uns dabei als nahezu einzige Methode, das ungeborene Kind in der Gebärmutter direkt sichtbar zu machen.