Gynäkologie



Anbei einige typische gynäkologische Krankheiten (näheres dazu auf der website):
PCO Syndrom:
Allgemein ist zu sagen, dass das PCO-Syndrom (=polyzystisches Ovar Syndrom) die häufigste hormonelle Störung von Frauen im gebärfähigen Alter ist, ca. 5-10 % sind davon betroffen. Es ist eine der häufigsten Ursachen für Kinderlosigkeit und von Zyklusstörungen. Übergewichtige Frauen scheinen deutlich häufiger betroffen zu sein, aber auch schlanke Frauen können ein ausgeprägtes PCO haben.
Endometriose:
Endometriose ist eine gutartige, aber chronische Erkrankung bei Frauen im fortpflanzungsfähigen Alter. Ungefähr 15% aller Frauen haben diese Erkrankung, die auch familiär gehäuft vorkommt.
Bei Endometriose tritt an verschiedenen Stellen des Körpers Gewebeareale auf, die histologisch Gebärmutterschleimhaut entsprechen. Diese Herde verhalten sich genau so wie die Zellen in der Gebärmutter: Sie werden von Hormonen gesteuert, unterliegen dem Zyklus und lösen Blutungen aus. Das Blut kann jedoch nicht einfach abfließen, was Zysten, Verwachsungen, Entzündungen und Vernarbungen verursachen kann, die zu teils sehr starken Schmerzen und in extremen Fällen auch zur Gefährdung anderer Organe führen können.
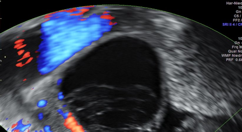
Zysten:
Zysten im Bereich der Eierstöcke sind grundsätzlich etwas sehr häufiges. Die meisten sind so genannte funktionelle Zysten, die durch Retention von Follikeln entstehen und üblicherweise nach einer oder zwei Menstruationsblutungen wieder verschwinden. Solche Zysten findet man nach der Menopause nicht mehr! Funktionelle Zysten sind eigentlich nicht weiter gefährlich, es sei denn, wenn sie an Größe zu stark zunehmen. Wenn dies geschieht, können sie durch die so genannte Stieldrehung (ähnlich wie bei einem geknickten Gartenschlauch) zu einem sehr akuten Bauchschmerz führen, der die sofortige Einlieferung in eine Krankenhaus erfordert.
Die Beurteilung von Eierstockzysten erfolgt üblicherweise durch ein geeignetes, hochwertiges Ultraschallgerät, da auch die Blutversorgung mittels Farbdoppler-Technik wichtig für die Differentialdiagnose ist.
Myome der Gebärmutter:
Myome sind gutartige Muskelknoten, die von der Gebärmutter ausgehen. Nur ganz selten können sie bösartig entarten. Ungefähr ein Drittel aller Frauen bekommen Myome, eine gewisse familiäre Häufung ist zu sehen. Wie solche Myome entstehen ist noch relativ unklar, aber man weiß, dass sie hormonell gesteuert werden. Je nach Größe und Leidensdruck aufgrund von Schmerzen und/oder Blutungen ist die kausale Therapie die operative Entfernung der Myome, allerdings kommt es nicht selten zu so genannten rezidiven, also neu entstehende Knoten.