Die Ordination befindet sich in der Schillerstrasse 8, eine Querstrasse von der Landstraße...
Dr. med. Gerald Bräutigam
Die Ordination befindet sich in der Schillerstrasse 8, eine Querstrasse von der Landstraße abgehend.
Kurzparkzonenparkplätze sind in der Umgebung ausreichen vorhanden, sollten Sie mit dem Auto kommen.
Öfffentlich erreichen SIe uns mit der Strassenbahn Haltestelle Goethekreuzung bzw. Bismarckstrasse. Danach sind es nur ein paar Meter zu Fuß!
KASSENVERTRAGSORDINATION - ALLE KASSEN UND PRIVAT!
Liebe Patientinnen!
Ich würde mich freuen, Sie in meiner Ordination begrüßen zu dürfen!
Als ehemaliger OA für Gynäkologie und...
KASSENVERTRAGSORDINATION - ALLE KASSEN UND PRIVAT!
Liebe Patientinnen!
Ich würde mich freuen, Sie in meiner Ordination begrüßen zu dürfen!
Als ehemaliger OA für Gynäkologie und Geburtshilfe - zuerst im KH der Barmherzigen Brüder Linz und danach im Kepleruniversitätsklinikum Linz kann ich auf eine langjährige Erfahrung zurückblicken.
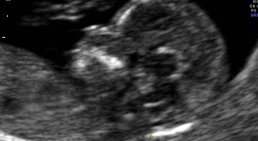
Der Ultraschall und die Schwangerschaftsbetreuung sind mir ein besonderes Anliegen.
Zusätzliche Untersuchungen wie Nackentansparenzmessung, Combined Test, Präeklampsiescreening, NIPT (Nicht Invasiver Pränatal Test) und auch Organscreening (Feindiagnostik) werden auf Wunsch von mir durchgeführt.
Als Inhaber der ÖGUM Stufe II als auch durch die jährliche Zertifizierung der FMF London für Firsttrimester Screening kann ich Ihnen Ultraschall in höchster Qualität anbieten.
KASSENVERTRAGSORDINATION - ALLE KASSEN UND PRIVAT!
Liebe Patientinnen!
Ich würde mich freuen, Sie in meiner Ordination begrüßen zu dürfen!
Als ehemaliger OA für Gynäkologie und Geburtshilfe - zuerst im KH der Barmherzigen Brüder Linz und danach im Kepleruniversitätsklinikum Linz kann ich auf eine langjährige Erfahrung zurückblicken.
Der Ultraschall und die Schwangerschaftsbetreuung sind mir ein besonderes Anliegen.
Zusätzliche Untersuchungen wie Nackentansparenzmessung, Combined Test, Präeklampsiescreening, NIPT (Nicht Invasiver Pränatal Test) und auch Organscreening (Feindiagnostik) werden auf Wunsch von mir durchgeführt.
Als Inhaber der ÖGUM Stufe II als auch durch die jährliche Zertifizierung der FMF London für Firsttrimester Screening kann ich Ihnen Ultraschall in höchster Qualität anbieten.
Beliebte Leistungen

Nackentransparenzmessung 12.-14. SSW inkl. NIPT/NIFTY Test

3D/4D Ultraschall
Erreichbarkeit
Die Ordination befindet sich in der Schillerstrasse 8, eine Querstrasse von der Landstraße abgehend.
Kurzparkzonenparkplätze sind in der Umgebung...
Die Ordination befindet sich in der Schillerstrasse 8, eine Querstrasse von der Landstraße abgehend.
Kurzparkzonenparkplätze sind in der Umgebung ausreichen vorhanden, sollten Sie mit dem Auto kommen.
Öfffentlich erreichen SIe uns mit der Strassenbahn Haltestelle Goethekreuzung bzw. Bismarckstrasse. Danach sind es nur ein paar Meter zu Fuß!
Der Zugang erfolgt stufenlos oder mit einer Rampe
Beliebte Leistungen

Nackentransparenzmessung 12.-14. SSW inkl. NIPT/NIFTY Test
Zwischen der 12. (11 + 0) und der 14. Schwangerschaftswoche (13 + 6) ist es möglich das sogenannte Ersttrimesterscreening inkl. Nackentransparenzmessung...

3D/4D Ultraschall
Bei meinen Patientinnen wird bei guter Kindslage auf Wunsch auch ein 3D Bild angefertigt.
Aus Termingründen ist es mir NICHT möglich für "ordinationsfremde"...
Krankenkassen
- KFA
- SVS
- ÖGK
- BVAEB
- Privat
Ordinationszeiten
Heute geöffnet
09:00–13:00
Ordinationszeiten
-
Montag
13:00 - 17:00
-
Dienstag
09:00 - 13:00
-
Mittwoch
13:00 - 17:00
-
Donnerstag
08:00 - 12:00
-
Freitag
08:00 - 12:00
- Samstag Geschlossen
- Sonntag Geschlossen
Terminvereinbarung erforderlich
Ordination nur nach telefonischer Terminvereinbarung! Terminvereinbarung auch ONLINE über meine Homepage www.frauenarztpraxis-linz.at möglich!Gesprochene Sprachen
Gesprochene Sprachen
- Deutsch
- Englisch
Ausbildung: Fachberechtigung & Zusatzgebiete
Ausbildung: Fachberechtigung & Zusatzgebiete
- Frauenheilkunde u. Geburtshilfe
Diplome & Zertifikate
Diplome & Zertifikate
- Fortbildungsdiplom
- Genetik
- Notarzt
Fotos & Videos
Krankenkassen
- KFA
- SVS
- ÖGK
- BVAEB
- Privat
Ordinationszeiten
Heute geöffnet
09:00–13:00
Ordinationszeiten
-
Montag
13:00 - 17:00
-
Dienstag
09:00 - 13:00
-
Mittwoch
13:00 - 17:00
-
Donnerstag
08:00 - 12:00
-
Freitag
08:00 - 12:00
- Samstag Geschlossen
- Sonntag Geschlossen
Terminvereinbarung erforderlich
Ordination nur nach telefonischer Terminvereinbarung! Terminvereinbarung auch ONLINE über meine Homepage www.frauenarztpraxis-linz.at möglich!Gesprochene Sprachen
Gesprochene Sprachen
- Deutsch
- Englisch
Ausbildung: Fachberechtigung & Zusatzgebiete
Ausbildung: Fachberechtigung & Zusatzgebiete
- Frauenheilkunde u. Geburtshilfe
Diplome & Zertifikate
Diplome & Zertifikate
- Fortbildungsdiplom
- Genetik
- Notarzt
Fotos & Videos
Weitere Ärzte im Umkreis

Dr. Gerald Fischerlehner, MBA
Frauenarzt (in [[ calculateDistanceTo([14.2915395,48.2970333]) ]] km)
OA Dr. Joachim Pömer
Frauenarzt (in [[ calculateDistanceTo([14.29216,48.300791]) ]] km)
Dr. Barbara Stoiber
Frauenärztin (in [[ calculateDistanceTo([14.29562,48.30363]) ]] km)Dr. Judith Weismann
Frauenärztin (in [[ calculateDistanceTo([14.2873817,48.2986217]) ]] km)
Dr. med. univ. Leonhard Loimer, MSc
Frauenarzt (in [[ calculateDistanceTo([14.28536,48.30311]) ]] km)
OA Priv.-Doz. Richard Mayer
Frauenarzt (in [[ calculateDistanceTo([14.2943528,48.3023752]) ]] km)Dr. med. univ. Dorothea Käferböck
Frauenärztin (in [[ calculateDistanceTo([14.2966887,48.3008843]) ]] km)Dr. Markus Aigner
Frauenarzt (in [[ calculateDistanceTo([14.291561,48.301288]) ]] km)OA Dr. Christian Günther Altendorfer
Frauenarzt (in [[ calculateDistanceTo([14.287984,48.300655]) ]] km)OMR Dr. Thomas Fiedler
Frauenarzt (in [[ calculateDistanceTo([14.29011,48.30133]) ]] km)Beiträge aus dem Fachbereich

Endometriose - Symptome, Diagnose und Behandlung

Scheidenpilz - Definition, Symptome, Behandlung, Vorbeugen

Harnwegsinfektion

HPV (Humane Papillomaviren)

Endometriose - Symptome, Diagnose und Behandlung

Scheidenpilz - Definition, Symptome, Behandlung, Vorbeugen

Harnwegsinfektion

HPV (Humane Papillomaviren)
Gesamtbewertung
Weitere Bewertungen5 Punkte |
|
84% |
4 Punkte |
|
0% |
3 Punkte |
|
2% |
2 Punkte |
|
7% |
1 Punkt |
|
7% |
Detailbewertungen anzeigen
Detailbewertungen
Erklärung zum BewertungssystemEinfühlungsvermögen des Arztes |
4,4
|
(38) |
Serviceangebot |
4,4
|
(38) |
Betreuung durch Arzthelfer |
4,6
|
(37) |
Praxisaustattung / Räumlichkeiten |
4,4
|
(38) |
Zufriedenheit mit der Behandlung |
4,4
|
(38) |
Vertrauen zum Arzt |
4,4
|
(38) |
Wartezeit im Warteraum |
4,6
|
(38) |
Wartezeit auf Termin |
4,7
|
(38) |
Erfahrungsberichte
Bester Frauenarzt
Einfühlungsvermögen des Arztes |
|
Vertrauen zum Arzt |
|
Zufriedenheit mit der Behandlung |
|
Serviceangebot |
|
Praxisaustattung / Räumlichkeiten |
|
Betreuung durch Arzthelfer |
|
Wartezeit im Warteraum |
|
Wartezeit auf Termin |
|
Tip top!
Dr. Bräutigam nimt sich Zeit und hat auch gut Ratschläge.
Wartezeiten sehr moderat, zeitweise auch keine.
Online Terminbuchung möglich
Einfühlungsvermögen des Arztes |
|
Vertrauen zum Arzt |
|
Zufriedenheit mit der Behandlung |
|
Serviceangebot |
|
Praxisaustattung / Räumlichkeiten |
|
Betreuung durch Arzthelfer |
|
Wartezeit im Warteraum |
|
Wartezeit auf Termin |
|
Compassionate Care You Can Trust
Naomi Hozan
Einfühlungsvermögen des Arztes |
|
Vertrauen zum Arzt |
|
Zufriedenheit mit der Behandlung |
|
Serviceangebot |
|
Praxisaustattung / Räumlichkeiten |
|
Betreuung durch Arzthelfer |
|
Wartezeit im Warteraum |
|
Wartezeit auf Termin |
|
Rude personnel
Additionally, scheduling an appointment—even for a brief consultation or to follow up on information I received from a hospital—has proven difficult. Although I am already a patient of the doctor, I am offered appointments with waiting times comparable to those of new patients, over a month later. This is particularly concerning when time-sensitive issues, such as emergency contraception, might arise.
I would feel more comfortable discussing sensitive health matters directly with my doctor, not with a gatekeeper who lacks both empathy and professionalism, as she keeps asking many questions on the phone
Einfühlungsvermögen des Arztes |
|
Vertrauen zum Arzt |
|
Zufriedenheit mit der Behandlung |
|
Serviceangebot |
|
Praxisaustattung / Räumlichkeiten |
|
Betreuung durch Arzthelfer |
|
Wartezeit im Warteraum |
|
Wartezeit auf Termin |
|
Detailbewertungen anzeigen
Detailbewertungen
Erklärung zum BewertungssystemEinfühlungsvermögen des Arztes |
4,4
|
(38) |
Serviceangebot |
4,4
|
(38) |
Betreuung durch Arzthelfer |
4,6
|
(37) |
Praxisaustattung / Räumlichkeiten |
4,4
|
(38) |
Zufriedenheit mit der Behandlung |
4,4
|
(38) |
Vertrauen zum Arzt |
4,4
|
(38) |
Wartezeit im Warteraum |
4,6
|
(38) |
Wartezeit auf Termin |
4,7
|
(38) |
Unfortunately I can´t take a look at your issues in my notes because you are anonymous.
We are trying our best every day, but unfortunately it didn´t work with you.
As it seems that you are an englisch native speaker, i suggest that there was a kind of communication problem, because my assistant isn´t used to speak english very good.
I can only offer an other appointment where we can talk about your issues and perhaps to get rid of your bad review.
It´s also disappointing for me to read this bad review as long as you can´t expect that everyone is good in english.
Besides in times like this where you can read every day that there are less doctors available in our social health system you can imagine that i´m also fully booked every day and there is no regular appointment within a few days.
But of course it´s up to you to come to my office with acute problems with no regular appointment, of course you will be examined but then you have to bring time to wait with you.
Kind regards
Gerald Bräutigam