Fußchirurgie

Fußchirurgie - Dr. Roland Meizer - Orthopäde Wien 1050
1/1

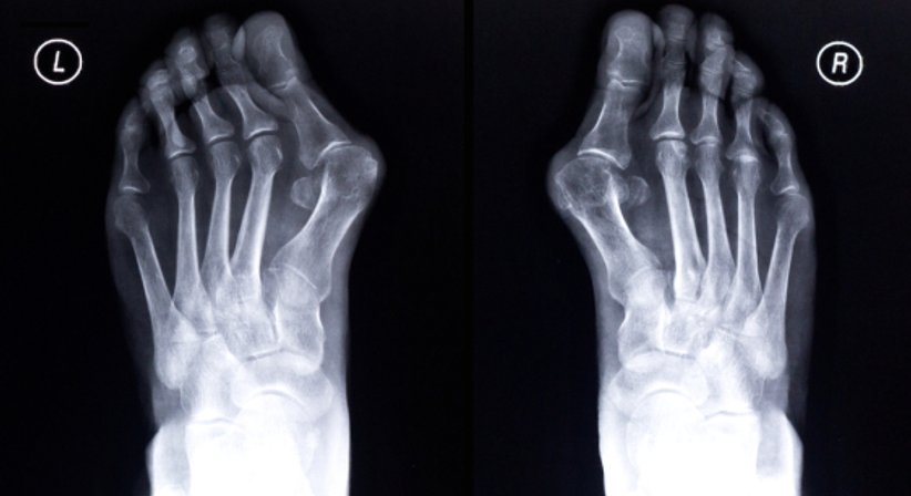
Beschwerden und Probleme im Bereich vom Fuß sind entweder angeboren oder erworben, beispielsweise durch das Tragen von zu engem Schuhwerk wie etwa in vielen Fällen eines Hallux valgus, oder durch andere Umwelteinflüsse.

Viele Fehlstellungen vom Fuß können in der Ordination nicht-invasiv (konservative Orthopädie) mithilfe von orthopädischer Schuhversorgung und orthopädischen Schuheinlagen behandelt werden.

Kann der Fuß nicht mithilfe einer nicht-invasiven Therapie behandelt werden und schreiten die Schmerzen/Beschwerden weiter voran, stehen je nach Beschwerdebild unterschiedliche Operationsverfahren zur Verfügung.

Meine operativen Leistungen im Bereich Fußchirurgie umfassen u.a. Hallux valgus, Hallux rigidus, Hammerzehen, Metatarsalgie sowie die operative Behandlung von Arthrosen der Fußgelenke.

Operationen werden von mir im Evangelischen Krankenhaus, im Krankenhaus Rudolfinerhaus und im Sanatorium Hera (KFA-Patienten) durchgeführt, zudem besteht in den meisten Fällen eine direkte Einweisungsmöglichkeit ins Orthopädische Spital Speising.

Nach einer umfassenden Untersuchung und einer exakten Diagnose kläre ich Sie ausführlich über alle Operationsschritte und mögliche Risiken auf. Die postoperative Untersuchung/Therapie erfolgt anschließend wieder in der Ordination.

Bei Fragen zur konservativen Orthopädie bei Fußbeschwerden und zur Fußchirurgie stehe ich Ihnen gerne persönlich zur Verfügung.

Erweitertes Profil (entgeltlich). Aktualität, Richtigkeit und Vollständigkeit der Daten ohne Gewähr.