rekonstruktive Kniechirurgie

rekonstruktive Kniechirurgie - OA Dr. Dominik Roider - Orthopäde Wien 1180
1/2
rekonstruktive Kniechirurgie - OA Dr. Dominik Roider - Orthopäde Wien 1180
2/2
operative und konservative Therapie von Verletzungen des Kniegelenkes

Kreuzbandchirurgie (vorderes Kreuzband, hinteres Kreuzband),
Therapie/Rekonstruktion von Verletzungen der Seitenbänder (inneres und äußeres Seitenband) 
Meniskuschirurgie, Knorpelchirurgie
Behandlung von komplexen Band - Verletzungen des Kniegelenkes (Knieluxation)
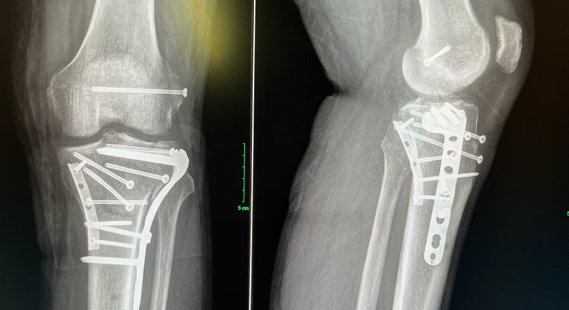
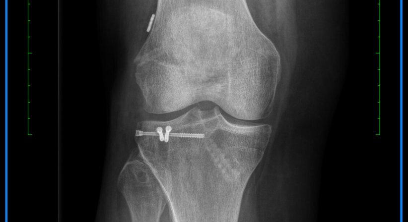
Behandlung von Frakturen des Ober- und Unterschenkels im Kniegelenksbereich

weiterführende Information finden Sie unter:
http://www.arthroskopie-verstehen.de/krankheitsbilder/knie/
Erweitertes Profil (entgeltlich). Aktualität, Richtigkeit und Vollständigkeit der Daten ohne Gewähr.