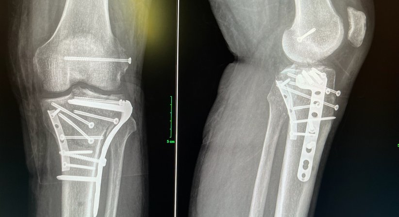
Unfallchirurgie

Knochenbrüche der oberen Extremität:
Oberarmkopfbruch, Oberarmbruch, Schlüsselbeinbruch, Ellbogenverletzungen, Unterarmbruch, Brüche im Bereich des Handgelenkes (Speichenfraktur, Kahnbeinbruch) sowie der Mittelhandknochen und Finger.
Knochenbrüche der unteren Extremität:
Schenkelhalsbruch, hüftnahe Frakturen, Oberschenkelbruch, Frakturen im Bereich des Kniegelenkes, Unterschenkelbruch, Knöchelbruch, Verletzungen im Fussbereich