Hallux valgus

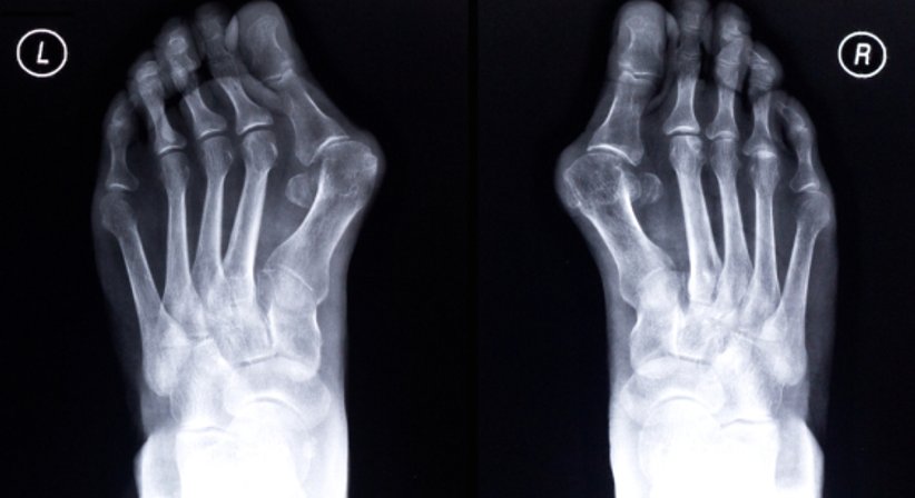
Hallux valgus, die häufigste Fehlstellung der Zehen, beschreibt eine Fehlstellung der Großzehe, bei welcher diese nach außen und damit in Richtung der anderen Zehen abweicht. Für viele Betroffene, zumeist Frauen, ist die Fehlstellung der Großzehe zunächst nur ein ästhetisches Problem, mit fortschreitendem Verlauf kann es allerdings zu teils starken Schmerzen kommen.
Das Grundgelenk der Großzehe schiebt sich zunehmend nach außen, wodurch sich eine Wölbung bildet. Oft findet sich eine Rötung oder Entzündung des hervorstehenden Köpfchens der Großzehe. Zusätzlich verdickt sich oft der Schleimbeutel im Zehenballenbereich, was zu Schwellungen und weiteren Schmerzen beitragen kann. Bei Nichtbehandlung schreitet die Erkrankung fort, die Großzehe schiebt sich über oder unter die kleinen Zehen und beeinträchtigt diese mit. Durch die veränderte Stellung trägt die Großzehe beim Abrollen nicht mehr die Belastung wie bei einem gesunden Fuß; Schmerzen beim Abrollen des Fußes können die Folge sein. Aufgrund der Schwächung der Großzehenfunktion müssen die benachbarten Mittelfußknochen der Kleinzehen die Belastung übernehmen. Schließlich kann es zu einer Überbelastung der kleinen Zehnen, Mittelfußschmerzen, einer veränderten Lastenverteilung auf der Fußsohle, Veränderungen des Gangbildes und einer Reihe weiterer Beschwerden wie auch anderen Fehlstellungen kommen. Unbehandelt kann ein Hallux valgus die gesamte Biomechanik des Fußes beeinträchtigen.
- Behandlung
Mit einer konservativen Behandlung (richtiges Schuhwerk, Physiotherapie, orthopädische Hilfsmittel) lassen sich Beschwerden mildern und die weitere Entwicklung verlangsamen, jedoch nicht umkehren. Eine Operation, mithilfe welcher Spätfolgen einer lange bestehenden Fehlstellung der Großzehe vermieden werden, stellt beim Hallux valgus die einzige dauerhafte Therapiemöglichkeit dar.
Zur operativen Korrektur des Hallux valgus steht eine Vielzahl verschiedener Operationsmethoden zur Verfügung, die sich teils nur in Details voneinander unterscheiden. Da der Hallux valgus über mehrere Wirkmechanismen in seiner Fehlstellung gehalten wird, werden im Rahmen der Operation häufig mehrere Eingriffe kombiniert.
Die Auswahl des im Einzelfall am besten geeigneten Operationsverfahrens hängt vom Ausmaß der Fehlstellung und den genauen vorliegenden Umständen (mögliche Begleiterkrankungen des Fußes etc.) ab. Die Behandlungsstrategie berücksichtigt alle wichtigen Ansatzpunkte zur Fehlstellungskorrektur und wird basierend auf einer gründlichen Diagnose gemeinsam erarbeitet.
Operationen werden von mir am Orthopädischen Spital Speising durchgeführt. Die ausführliche Besprechung der Behandlungsmöglichkeiten und des Behandlungsablaufs sowie Kontrolluntersuchungen nach der Operation und etwaige weiterführende Behandlungen erfolgen in der Ordination, wo ich mir für Sie und Ihre Fragen viel Zeit nehme. Im Bedarfsfall sind weiterführende Behandlungen auch am Orthopädischen Spital Speising möglich.
Bei Fragen zur Behandlung des Hallux valgus und anderer Fußfehlstellungen bin ich in der Ordination gerne für Sie da.