Konservative und operative Knochenbruchbehandlungen

Konservative und operative Knochenbruchbehandlungen - OA Dr.med.univ. Florian Frisee - Orthopäde Wien 1190
1/1
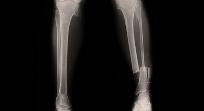
Knochenbrüchen geht oftmals ein Sturz vorau

s.
Osteoporose (Minderung der Knochenfestigkeit), die häufig bei älteren Patienten auftritt, macht die Knochen zusätzlich anfällig für Brüche.

In der Regel wird zwischen verschiedenen Bruchformen unterschieden. Sogenannte glatte Quer- oder Schrägbrüche zählen dabei zu den unkompliziertesten Brüchen.
Zudem gibt es Mehretagenbrüche, Längsbrüche, Trümmerbrüche und offene Brüche.

Eine nichtoperative Therapie ist bei Knochenbrüchen nur in sehr seltenen Fällen möglich. Oftmals ist eine Operation notwendig.
Die operativen Maßnahmen beinhalten in der Regel verschiedene
Platten- und Schraubensysteme.

Als Facharzt für Unfallchirurgie bin ich auf die konservative und operative Behandlung von knienahen Knochenbrüchen (z.B. Schien- und Wadenbeinbruch, Unterschenkelfraktur, etc.) spezialisiert.

Erweitertes Profil (entgeltlich). Aktualität, Richtigkeit und Vollständigkeit der Daten ohne Gewähr.