Fußchirurgie

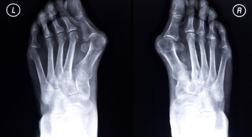
Hallux valgus
Der Hallux valgus wird umgangssprachlich als Frostbeule, aber auch als Ballenzeh oder Überbein bezeichnet. Die Deformation des Großzehenballens bzw. Fehlstellung der Großzehe ist oft auch mit einer anormalen Spreizung im Mittelfuß verbunden. Häufig geht dem Hallux valgus ein Spreizfuß voraus.
Der Hallux valgus kann unterschiedliche Ursachen haben. Der erbliche Faktor steht im Vordergrund, jedoch auch entzündliche Gelenksveränderungen oder das Tragen von zu hohen oder zu engen Schuhen kann zu Entstehung des Ballenzehs beitragen.
Die Fehlstellung macht sich in den meisten Fällen durch Schmerzen beim Gehen, v.a. bei der Abrollbewegung des Fußes, bemerkbar. Die Haut ist an der betroffenen Stelle einer dauerhaften Reizung ausgesetzt. Das kann zusätzlich zu Schwellungen und Entzündungen führen. Da der Verlauf fortschreitend ist, wird meist eine operative Behandlung empfohlen.
Gerne kläre ich Sie in meiner Ordination über die einzelnen operativen Möglichkeiten auf.
Hammerzehe
Die Hammerzehe tritt oft im Zusammenhang mit einem Spreizfuß oder einem Hallux valgus auf. Durch Schuhdruck entsteht ein Clavus (Hühnerauge), der Schmerzen verursacht und durch Infektion die Zehe gefährden kann. Neurologische Erkrankungen sowie chronische Gelenkentzündungen können ebenfalls zu einem Hammerzeh führen. Die Zehenfehlstellung zeigt sich in Form einer maximalen Beugung des Zehs im Endgelenk, wobei das Mittelglied nach oben gebeugt ist.
Hammerzehen werden in den meisten Fällen operativ behandelt. In einem ausführlichen Beratungsgespräch informiere ich Sie gerne über die unterschiedlichen Operationsmethoden.
Achillessehne
Beschwerden mit der Achillessehne oder Achillessehnenverletzungen kommen häufig im Sportbereich vor. Die Sehne kann aber auch durch Übergewicht belastet oder durch eine falsche Bewegung verletzt werden.
Wird die Achillessehne dauerhaft überbelastet, kann es unter Umständen zu einem Riss in der Achillessehne kommen. Dieser Riss wird meist durch einen Sprung oder Sprint verursacht und macht sich durch einen stechenden Schmerz in der Wade oder der Ferse sowie ein peitschenartiges Geräusch bemerkbar. In der Regel muss ein Achillessehnenriss operativ behandelt werden.
Die Achillessehne, die am Fersenbein ansetzt, kann sich aber auch entzünden. Dann spricht man von einer Achillodynie, die sich durch dumpfe, stechende Schmerzen bzw. einem Druckschmerz bemerkbar macht. Schreitet die Entzündung fort, kann es zu einer eingeschränkten Beweglichkeit des Sprunggelenks kommen.
In einem ausführlichen Gespräch informiere ich Sie über alle Therapie- und Behandlungsmöglichkeiten bei Achillessehnenbeschwerden.