Hallux valgus

Hallux valgus - Dr. Andreas Gfrerrer, MSc - Orthopäde Stockerau 2000
1/1

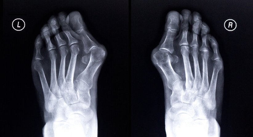
Der Hallux valgus ist die häufigste Fehlstellung des Fußes. Es handelt sich um eine Fehlstellung des Großzehengrundgelenks, bei welcher die Großzehe von ihrer normalen Ausrichtung nach außen abweicht und andere Zehen verdrängt. Typisch für einen Hallux valgus ist, dass das oft geschwollene Mittelfußköpfchen im Bereich vom Großzehengrundgelenk hervortritt und schmerzhaft gegen den Schuh drückt. 

Anfangs ist ein Hallux valgus häufig nur ein kosmetisches Problem. Im weiteren Verlauf kann es dann zu einer Vielzahl an Beschwerden und Problemen kommen (Rötungen, Schwellungen, vergrößerter Ballen, Schmerzen, zunehmende Abweichung der Großzehe zur Seite, Verdrängung und Fehlstellungen benachbarter Zehen, Abnutzungen und mit Schmerzen einhergehende Versteifung des Großzehengrundgelenks, Überlastung kleinerer Zehen, veränderte Abrollbewegung des Fußes und Veränderungen im Gangbild u. a.). Das genaue Beschwerdebild kann individuell sehr verschieden sein. 

Bestimmte Beschwerden lassen sich mittels konservativer Maßnahmen (z. B. Orthopädietechnik, Physiotherapie) lindern. Eine Korrektur der Fehlstellung ist durch eine konservative Behandlung jedoch nicht möglich. Eine dauerhafte Normalisierung der Fehlstellung lässt sich nur durch eine Operation erreichen. 

Prinzipiell steht eine Vielzahl an operativen Verfahren zur Verfügung, die teils nur in Details voneinander abweichen. Welches operative Verfahren im Einzelfall geeignet ist und wie sich die Behandlung im Detail gestaltet richtet nach dem Schweregrad der Fehlstellung, dem Vorhandensein von möglichen Begleiterkrankungen und anderen Faktoren. Bei der Operationsplanung müssen alle Mechanismen, welche den Hallux valgus in seiner Fehlstellung halten und jeweiligen wichtigen Ansatzpunkte zur Korrektur dieser berücksichtigt werden. 

Bei Möglichkeit führe ich die Operation in minimal-invasiver Technik durch, welche mit zwei kleinen Einstichen auskommt. Das Gelenk muss hierbei nicht eröffnet werden; die Korrekturosteotomie und andere Eingriffe können im Vergleich zu anderen Operationstechniken mit sehr geringen Haut- und Weichteilverletzungen durchgeführt werden. Dadurch verkürzt sich auch die Heilungszeit. Patienten können den Fuß gleich nach der Operation im Spezialschuh belasten. 

Hallux valgus-Operationen werden unter Einsatz eines Fußblocks (regionalanästhetisches Verfahren; kombinierte Leitungsanästhesie aller zum Fuß führenden Nervenleitungsbahnen) durchgeführt, wodurch der Fuß schmerzunempfindlich wird; bei Bedarf ist zusätzlich eine Vollnarkose möglich. 

 

Bei Fragen zur Behandlung des Hallux valgus bin ich gerne für Sie da. 
 

Erweitertes Profil (entgeltlich). Aktualität, Richtigkeit und Vollständigkeit der Daten ohne Gewähr.