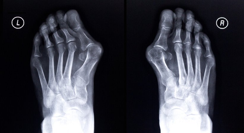
Hallux valgus

Hallux valgus - OA Dr. Lukas Karamat - Orthopäde Hollabrunn 2020
1/1

Der Hallux valgus, die häufigste Fehlstellung des vorderen Fußes,
stellt zu Beginn meistens nur ein ästhetisches Problem dar, führt im weiteren Verlauf jedoch häufig zu starken Schmerzen und anderen Beschwerden.

Es handelt sich um eine Fehlstellung der Großzehe, bei welcher diese von ihrer ursprünglichen Position abweicht - das Grundgelenk der Großzehe schiebt sich allmählich nach außen, wobei sich eine für den Hallux valgus charakteristische Wölbung bildet.
Durch die "Verdrehung" der Großzehe werden auch die kleineren Zehen zusammengedrückt; sie weichen aus, was wiederum die Entstehung anderer Fehlstellungen (Krallen- und Hammerzehen) begünstigt.
Nicht selten haben Patienten mit einem Hallux valgus auch Schmerzen im Bereich vom Mittelfuß; denn wenn die Großzehe nicht mehr "richtig funktioniert" und nicht mehr die volle ursprüngliche Belastung trägt, muss dies durch die Mittelfußknochen der benachbarten Kleinzehen übernommen werden, welche hierfür nicht gebaut sind - deren Strukturen sind für andere Belastungen ausgelegt.

Gerötete Haut, vorstehendes Zehenköpfchen am Innenrand des Fußes, verstärkte Hornhautbildung im Bereich vom Zehengrundgelenk, erschwertes Finden und Tragen passender Schuhe, Schleimbeutelschwellung und -entzündung, Schmerzen, andere Fehlstellungen, veränderte Abrollbewegung, verändertes Gangbild, mögliche Spätfolgen wie Arthrose des Großzehengrundgelenks - ein weiter entwickelter Hallux ist nicht nur ein kosmetisches Problem, sondern führt zu Schmerzen, Bewegungsbeeinträchtigungen und in ausgeprägten Fällen nicht selten auch zu einem Verlust an Bewegungsfreude und Lebensqualität.

Die Behandlung kann konservativ (orthopädische Hilfsmittel, Physiotherapie etc.) und operativ erfolgen, wobei konservative Maßnahmen dabei helfen, die Beschwerden zu mildern und den weiteren Verlauf zu beeinflussen, eine ursächliche Behandlung ist im Rahmen einer konservativen Therapie nicht möglich, sondern nur im Rahmen einer Operation, durch welche die Fehlstellung beseitigt und Spätfolgen dieser entgegengewirkt wird.

Derzeit gibt es weit mehr als 100 verschiedene Verfahren für die
operative Korrektur der Fehlstellung (z. B. Chevron Osteotomie, Scarf Osteotomie, Lapidus-Arthrodese, minimalinvasive Hallux-OP). Da der Hallux zumeist über verschiedene Wirkmechanismen in seiner Fehlstellung gehalten wird und es verschiedene Schmerzquellen gibt, wird die Operation immer individuell und basierend auf einer gründlich erarbeiteten Diagnose geplant, wobei bei der Planung alle wichtigen Ansatzpunkte zur Korrektur der Fehlstellung berücksichtigt werden. Die Wahl des Operationsverfahrens richtet sich nach dem Fehlstellungswinkel, möglichen Begleiterkrankungen des Fußes, dem Alter des Patienten und einer Reihe von anderen individuellen Faktoren. Die Behandlung wird ausführlich in der Ordination besprochen.

Nach der Operation sind Patienten mit einem speziellen Vorbelastungsschuh wieder mobil, in sehr ausgeprägten Fällen kann
eine Gipsversorgung erforderlich sein. Der Eingriff wird von mir am Orthopädischen Spital Speising durchgeführt, an welchem ich als Oberarzt tätig bin, Nachkontrollen erfolgen in der Ordination.

Wie lange der Heilungsprozess nach einer Hallux valgus-OP dauert,
wie oft und lange der Fuß postoperativ ruhiggestellt werden muss, wann man wieder normal gehen oder Sport treiben kann, ab wann das Tragen normaler Schuhe möglich ist und andere Fragen werden in der Ordination in Ruhe besprochen. Es ist mir sehr wichtig, dass Sie die Ordination
immer mit einer klaren Vorstellung in Bezug auf alle Behandlungsoptionen bzw. eine anstehende Behandlung verlassen.

Für die operative Nachbehandlung (Physiotherapie), welche sehr wichtig ist, um den Heilungsprozess, die schmerzfreie Belastbarkeit, Mobilität und Balance zu fördern, weise ich Patienten an langjährig vertraute und fußspezialisierte Physiotherapeuten zu - durch eine umfassende und persönliche Behandlungsplanung möchte ich als Arzt sicherstellen, dass Sie auf dem Genesungsweg in jeder Phase bestmöglich unterstützt werden, um alltäglichen und sportlichen Aktivitäten schnellstmöglich wieder im gewohnten Ausmaß und ohne Einschränkungen nachgehen zu können.

Bei Fragen bin ich in der Ordination gerne für Sie da.

Erweitertes Profil (entgeltlich). Aktualität, Richtigkeit und Vollständigkeit der Daten ohne Gewähr.