Fußchirurgie

Hallux valgus
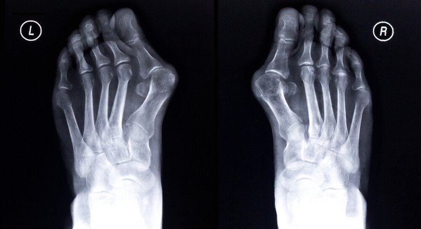
Als Hallux valgus wird eine Fehlstellung im Großzehengrundgelenk bezeichnet, die in erster Linie Frauen betrifft. Zu den Ursachen der Deformität zählen eine genetische Veranlagung und das Tragen von zugespitzten, engen Schuhen.
Ein Hallux valgus stellt oftmals nur ein rein kosmetisches Problem dar. Schreitet die Fehlstellung der Großzehe jedoch voran, kann es zu starken lokalen Schmerzen mit Schwielen und Hühneraugen kommen. Lassen sich die Beschwerden durch konservative Maßnahmen (u.a spezielle orthopädische Einlagen oder breitere Schuhe) nicht beheben, ist eine Operation indiziert.
Hallux rigidus
Als Hallux rigidus wird eine abnutzungsbedingte Bewegungseinschränkung des Großzehengrundgelenks bezeichnet, die im fortgeschrittenen Stadium sogar zu einer Versteifung des Gelenks führen kann.
Ein Hallux rigidus wird meist durch eine Verletzung, falsches Schuhwerk oder eine bereits bestehende Fußfehlstellung verursacht. Die Therapie richtet sich nach dem Ausmaß der Beschwerden und kann sowohl konservativ als auch operativ erfolgen.
Hammerzehe
Als Hammerzehe wird eine Zehenfehlstellung bezeichnet, bei der das Mittelgelenk der Zehe so stark nach oben gebeugt ist, dass das Endglied der Zehe hammerartig nach unten Richtung Boden zeigt. Da sich die Fehlstellung mit der Zeit oft weiter verschlechtert, hilft in vielen Fällen nur eine Operation.
Morton Neurom
Ein Morton Neurom wird in der Regel durch eine Einengung der sogenannten Interdigitalnerven, die sich im Bereich der Köpfchen der Mittelfußknochen befinden, verursacht und tritt meist zwischen dem dritten und vierten Zeh in Form von stechenden und brennenden Fußschmerzen auf.
Im Anfangsstadium der Erkrankung können u.a. gezielte Infiltrationen oder spezielle Einlagenversorgung die Schmerzen lindern. Oft ist jedoch die chirurgische Entfernung des Morton Neuroms die Therapie der Wahl.
Achillessehnenriss
Ein Achillessehnenriss entsteht zu 80% durch eine Überbeanspruchung der Sehne bei Stop and Go Sportarten (wie Fußball, Tennis, Squash) und macht sich durch ein peitschenknallartiges Geräusch bemerkbar. Darüber hinaus treten Schmerzen und eine Schwellung sowie eine Delle oberhalb des Fersenbeines auf, die Ferse kann nicht mehr vom Boden abgehoben werden.
Die zuverlässigste Therapie bei einer Achillessehnenruptur ist die Operation.
Achillodynie
Bei einer Achillodynie handelt es sich um eine meist entzündungsbedingte Veränderung der Achillessehne. Hier helfen meist konservative Therapiemethoden.
Haglund Exostose (Haglundferse)
Bei der Haglund Exostose handelt es sich um eine Formabweichung des Fersenknochens, die zu Schmerzen im Bereich der Achillessehne führen kann.
Metatarsalgie
Falsches Schuhwerk, Fußfehlstellungen oder ein fortgeschrittenes Alter können zu belastungsabhängigen Schmerzen im Bereich des Vorfußes führen. Charakteristisch für diese sogenannten Metatarsalgien sind u.a. Schwielenbildungen auf Höhe des Fußballens.
Für eine nachhaltige Verbesserung der Beschwerden reichen oftmals konservative Maßnahmen (u.a. Einlagenversorgung) aus. Bei einer ausgeprägten Metatarsalgie kann in manchen Fällen jedoch auch eine Operation notwendig sein.