Coxarthrose / künstlicher Hüftgelenksersatz




Die Coxarthrose (Hüftgelenksabnüzung) zählt zu den häufigsten Arthrosen und betrifft überwiegend ältere Menschen. Es handelt sich um eine chronische Erkrankung vom Hüftgelenk, bei welcher es zu einem fortschreitenden Verlust vom Knorpel kommt. Mit Fortschreiten der Erkrankung gehen die Veränderungen auch auf die Gelenkkapsel und die angrenzenden Knochenenden über und es kommt zu einer Entzündung der Innenhaut vom Gelenk. Bei sehr fortgeschrittener Coxarthrose ist der Knorpel in der Hüfte soweit abgebaut, dass die Knochenenden schutzlos aneinander reiben.
Ursachen und Symptome
Faktoren, die das Risiko für das Auftreten einer Coxarthrose erhöhen sind das Alter, familiäre Vorbelastung, körperliche Fehlstellungen und jahrelange Überlastung vom Hüftgelenk. Auch andere Grunderkrankungen wie Diabetes mellitus oder Rheuma und vorangegangene Verletzungen im Bereich der Hüfte kommen als mögliche Ursachen infrage.
Die Coxarthrose macht sich bei Betroffenen vor allem durch Schmerzen in der Hüfte und auch im Oberschenkel bemerkbar. Die Beschwerden treten zunächst nur gelegentlich auf, beispielsweise nach längeren Gehstrecken. Auch Einlaufschmerzen unter Belastung und Steifigkeitsgefühle sind typische Anzeichen einer Arthrose. Dazwischen liegen beschwerdefreie Intervalle, die mit Fortschreiten der Erkrankung jedoch immer kürzer werden. Weitere Symptome sind eine vorzeitige Ermüdung und eine eingeschränkte Beweglichkeit des Hüftgelenks mit begleitendem Hinken. Im fortgeschrittenen Stadium treten die Schmerzen auch immer häufiger in Ruhephasen auf.
Konservative Therapie der Coxarthrose
Anfangs lassen sich die Schmerzen mit einer konservativen Therapie teils sehr gut mildern. Hierfür stehen verschiedene Behandlungen wie Injektionen, Infiltrationen, Schmerzmittel und Substanzen mit knorpelschützenden Eigenschaften, Physiotherapie und Krankengymnastik sowie verschiedene orthopädische Hilfsmittel zur Verfügung. Weiters kann bei Patienten mit Übergewicht eine Gewichtsreduktion helfen das Hüftgelenk zu entlasten. Auch die Vermeidung einer übermäßigen Belastung des Hüftgelenks durch gelenkfreundliches Verhalten im Alltag kann die Beschwerden mildern.
Der Behandlungsplan wird gemeinsam mit Ihnen in der Ordination erstellt und besteht in den meisten Fällen aus einer Kombination einzelner Behandlungen.
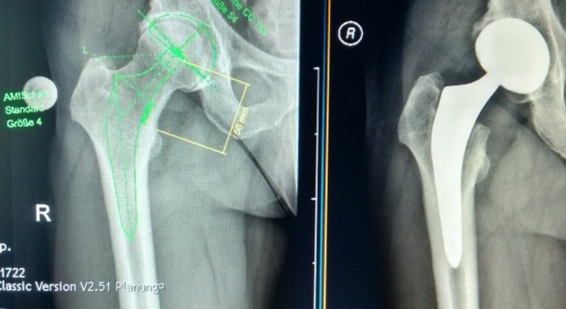
Operative Behandlung der Coxarthrose
Konservative Behandlungen können den weiteren Krankheitsverlauf zwar deutlich verzögern, jedoch nicht komplett aufhalten bzw. den Knorpelabbau nicht wieder rückgängig machen. Schreiten die Beschwerden trotz konservativer Therapie voran, ist ein künstlicher Ersatz vom Gelenk die einzige Möglichkeit, um den vollen Funktionsverlust der Hüfte zu verhindern.
Hierfür stehen unterschiedliche Prothesen und Operationsmethoden zur Wahl. Besonders vorteilhaft ist die Operation nach der AMIS-Methode, einer minimal-invasiven Operation bei welcher der Zugang zu Hüftgelenk von vorne erfolgt. Der große Vorteil dieser Technik gegenüber anderen Operationen besteht darin, dass kein Durchtrennen der Muskeln notwendig ist - diese werden während des Eingriffes zur Seite gehalten. Auf diese Weise entsteht keine Muskelnarbe, was mit einer schnelleren Heilung einhergeht. Weitere Vorteile der AMIS-Methode im Vergleich zu anderen Operationen sind:
- Minimierter Blutverlust
- Aufstehen bereits einen Tag nach der Operation möglich
- Aufenthaltsdauer im Spital von etwa 4 bis 5 Tagen
- Schnellere selbstständige Beweglichkeit
- Kürzere Tragedauer von Krücken
- Kürzere allgemeine Rehabilitationszeit
- Aufnehmen der Arbeit, alltägliche Erledigungen, Sport etc. sind schneller wieder möglich
Der genaue Operationsablauf und der richtige Zeitpunkt für die Operation werden vorab ausführlich in meiner Ordination besprochen und ebenso wie der Nachbehandlungsplan gemeinsam festgelegt.
Meine Operationen am Hüftgelenk führe ich im KH der Barmherzigen Brüder in Eisenstadt durch. Die Wartezeit auf einen künstlichen Hüftgelenksersatz beträgt derzeit etwa 5-6 Monate.
Bei Fragen zu Arthrose und den Behandlungsmöglichkeiten bin ich jederzeit gerne für Sie da.