Hallux valgus

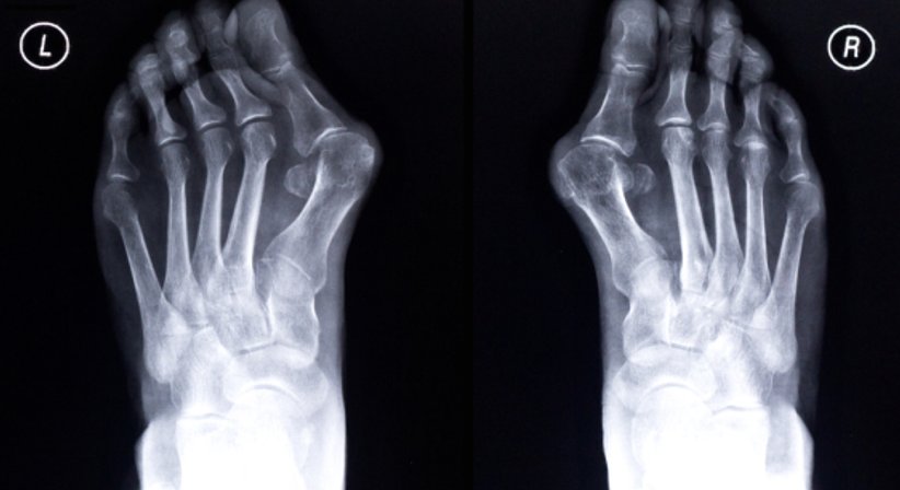
Bei einem Hallux valgus handelt es sich um eine Fehlstellung der Großzehe im Grundgelenk nach außen. In vielen Fällen geht die Fehlstellung der Großzehe mit einer Spreizung im Mittelfuß einher. Mit fortschreitendem Verlauf verliert die Großzehe immer mehr an ihrer natürlichen Stellung und winkelt sich in Richtung der anderen Zehen ab. In einigen Fällen kann es passieren, dass die anderen Zehen von der Großzehe "verdrängt" werden. Die Fehlstellung bewirkt, dass sich der Ballenbereich am Innenfuß vorwölbt. Dadurch entsteht die für den Hallux valgus charakteristische und gut tastbare Beule.
- Ein Hallux valgus kann unterschiedliche Ursachen haben, darunter Bänderschwäche, Bindegewebsschwäche, Übergewicht, Verletzungen und das häufige Tragen von falschem Schuhwerk (enge Schuhe, spitze Schuhe etc.).
Zu den Symptomen zählen, neben der Deformierung des Fußes, Schmerzen (Schmerzen während Bewegungen und Ruheschmerzen), Taubheitsgefühle, Bewegungseinschränkungen und Entzündungen (z.B. des Schleimbeutels).
Während zu Beginn nicht-chirurgische Maßnahmen wie etwa das Tragen des richtigen Schuhwerks oder eine Physiotherapie zur Kräftigung der Fußmuskulatur Schmerzen lindern und Entzündungen entgegenwirken können, kann der Hallux valgus selbst nur durch eine operative Behandlung beseitigt werden.
- Für die Operation eines Hallux valgus stehen mehrere Operationsverfahren zur Wahl, darunter u.a. die Operation nach Austin (Austin-Osteotomie). Hierbei werden eine knöcherne Korrektur und eine Operation an den Weichteilen vorgenommen.
Die Operation erfolgt unter Vollnarkose, Regional- oder Lokalanästhesie, nach dem Eingriff müssen Patienten für etwa sechs Wochen einen speziellen Verband und einen Schuh tragen, weiters muss der operierte Fuß weitgehend geschont werden. Eine Physiotherapie kann helfen den Fuß nach der Behandlung zu stabilisieren und den Heilungsverlauf zu beschleunigen.
Neben der Behandlung des Hallux valgus umfasst mein Leistungsspektrum im Bereich der Vorfußchirurgie:
- Großzehengrundgelenksarthrose
- Hammerzehen
- Krallenzehen
- Spreizfußfehlstellung
- Schneiderballen
Für weitere Informationen zur Vorfußchirurgie stehe ich Ihnen gerne persönlich zur Verfügung.