Hallux valgus

Hallux valgus - Dr. med. univ. Georg Neubauer - Orthopäde Neunkirchen 2620
1/2
Hallux valgus - Dr. med. univ. Georg Neubauer - Orthopäde Neunkirchen 2620
2/2

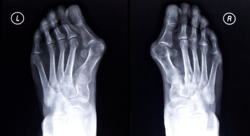
Der Hallux valgus ist eine fortschreitende Erkrankung des Vorfußes und die häufigste Fehlstellung der Zehen. Beim Hallux valgus ist die Großzehe nach außen in Richtung der kleineren Zehen abgeknickt, wodurch diese von ihrer Position verdrängt werden.

 

Der hervorstehende und für die Fehlstellung charakteristische Ballen drückt häufig gegen den Schuh, was mit der Zeit zu Schmerzen führt und die Gelenkkapsel anschwellen lässt. Nimmt die Schwellung zu, verstärkt sich wiederum die Reibung des Ballens am Schuh. Mit fortschreitendem Verlauf verändert sich auch die Gewichtsverlagerung des Fußes, nämlich weg von der Großzehe und hin zu den kleineren Zehen, was zu deren Überlastung und in weiterer Folge zu Schmerzen im Bereich vom Mittelfuß führen kann. Weitere mögliche Spätfolgen sind ein verändertes Gangbild, Gangunsicherheit, weitere Fehlstellungen (z.B. Krallen- und Hammerzehen), Arthrose am Großzehengrundgelenk und andere.

 

Behandlung (konservative Behandlung, Operation)

Bei frühzeitiger Diagnose und frühzeitigem Behandlungsbeginn ist der Hallux valgus mit konservativen Therapiemaßnahmen häufig gut behandelbar. Mit konservativen Methoden wie Physiotherapie und einer entsprechenden Einlagenversorgung lassen sich die Beschwerden bei vielen Patienten gut mildern, zudem kann ein Fortschreiten der Fehlstellung häufig weitgehend verlangsamt werden.

Die Fehlstellung selbst lässt sich allerdings nur im Rahmen einer Operation korrigieren, mit einer konservativen Behandlung kann ein Hallux valgus nicht "zurückgestellt" werden. Es stehen zahlreiche Operationstechniken zur Verfügung, viele davon unterscheiden sich teils nur in Details voneinander. Welche Operationstechnik im Einzelfall am besten geeignet ist hängt vom Schweregrad der Fehlstellung, von möglichen Begleiterkrankungen und anderen Fehlstellungen des Fußes sowie von anderen Faktoren ab und wird nach Vorliegen der Diagnose im Detail besprochen.

Eine häufig zur Anwendung kommende Operationstechnik ist die Methode nach Bösch. Hierbei handelt es sich um eine spezielle minimal-invasive Operationsmethode, die ohne großen Hautschnitt auskommt, sodass nach Abschluss der Wundheilung praktisch keine sichtbare Narbe zurückbleibt. Nach der Operation müssen Patienten für etwa sechs Wochen einen speziellen Verbandschuh tragen.

Bei Fragen zur Behandlung des Hallux valgus und anderer Fehlstellungen des Fußes bin ich in der Ordination gerne für Sie da.

Erweitertes Profil (entgeltlich). Aktualität, Richtigkeit und Vollständigkeit der Daten ohne Gewähr.