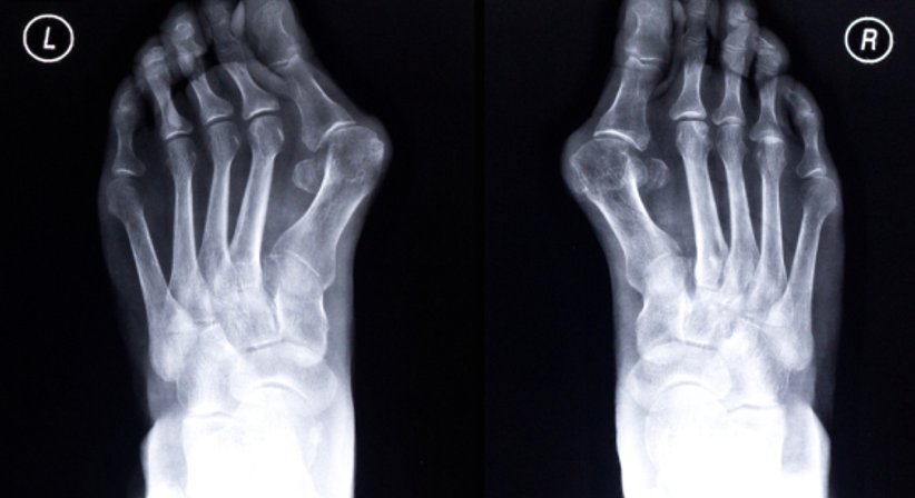
Hallux Valgus

Für die operative Behandlung des Hallux valgus (Fehlstellung der Großzehe) stehen mehrere Operationsverfahren zur Wahl, darunter die Operation nach Bösch und die Operation nach Austin (Chevron-Osteotomie). Ziel einer Hallux valgus-Operation ist, neben der Abtragung des störenden Überbeins, das Wiederherstellen der Funktion des Großzehengrundgelenks und regulärer Achsverhältnisse.
Bei der Operation nach Bösch handelt es sich um eine schonende Behandlung, welche eine Knochenumstellung und Knochenausrichtung auch ohne größeren Hautschnitt ermöglicht. Während dem Eingriff werden der hervorstehende Knochenanteil in Richtung der kleinen Zehen verschoben (wodurch der "X-Winkel" der Großzehe aufgehoben und diese in eine normale und ästhetische Form aufgerichtet wird) und die krankhafte Drehung der Großzehe durch eine Gegendrehung normalisiert. Durch ein bogenförmiges Aufziehen des Längs- und Quergewölbes wird die verloren gegangene Dämpfungsfunktion des Fußes wiederhergestellt.
Bei der Operation nach Austin, einem weit verbreitetem Verfahren zur Korrektur des Hallux valgus, wird der Mittelfußknochen v-förmig durchtrennt, um das Mittelfußköpfchen nach außen schieben zu können. Nach dem Knochenschnitt und der Achskorrektur erfolgt zur Stabilisierung eine Fixierung mithilfe eines speziellen Drahtes oder einer Titanschraube.
Welche Operationsmethode im Einzelfall am besten geeignet ist, orientiert sich an unterschiedlichen Faktoren (Ausmaß der Fehlstellung, Ausmaß des Knorpelschadens, Schmerzen etc.) und wird nach einer umfassenden Untersuchung eingehend in der Ordination besprochen. Darüber hinaus stehen auch nicht-operative Behandlungsmaßnahmen zur Verfügung (das Tragen flacher und bequemer Schuhe, Einlagen für die Schuhe zur Abstützung des Fußgewölbes und der Mittelfußknochen, Physiotherapie zur Kräftigung des Fußes/der Fußmuskulatur etc.) - allerdings lassen sich damit nur die Schmerzen/Beschwerden bessern bzw. kann mithilfe konservativer Maßnahmen im besten Fall nur ein Fortschreiten der Fehlstellung verhindert werden; der Hallux valgus selbst kann nur im Rahmen einer Operation korrigiert werden. Für weitere Informationen und bei Fragen zur Behandlung des Hallux valgus stehe ich Ihnen gerne persönlich zur Verfügung.