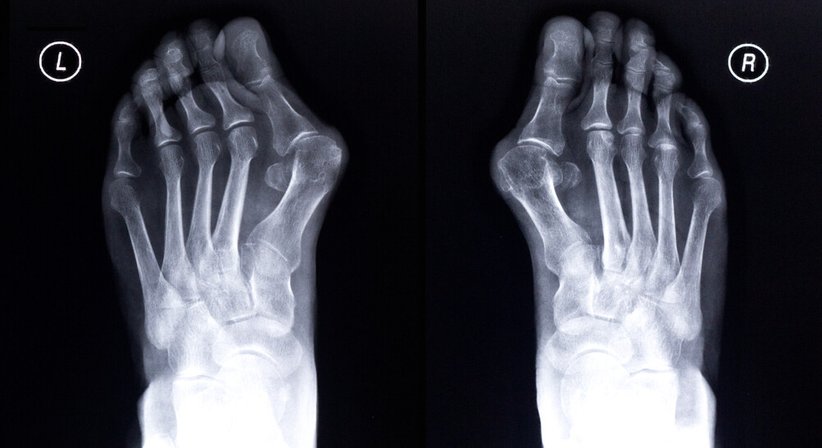
Hallux valgus

Der Hallux valgus ist die häufigste Fehlstellung des vorderen Fußes. Es handelt sich um eine Fehlstellung des Großzehengrundgelenks, durch welche die Großzehe nach außen abweicht (nach außen gerichteter Schiefstand der Großzehe). Charakteristisch für einen Hallux valgus ist eine Vorwölbung im Bereich des Großzehengrundgelenks, wo das häufig schmerzhaft entzündete und geschwollene Mittelfußköpfchen hervortritt und beim Gehen schmerzhaft gegen den Schuh drückt. Anfangs ist ein Hallux valgus für Betroffene häufig nur ein kosmetisches Problem. Mit der Zeit kann die Fehlstellung jedoch sehr schmerzhaft und zu einer großen Belastung werden und neben Schmerzen zu verschiedenen weiteren Beschwerden und krankhaften Veränderungen im Bereich des Fußes führen.
Bis zu einem gewissen Stadium können Schmerzen und andere Beschwerden mittels konservativer Maßnahmen behandelt werden (orthopädische Hilfsmittel, Fußübungen/Physiotherapie, konsequente Hautpflege etc.). Eine Korrektur der Fehlstellung ist mittels konservativer Behandlung jedoch nicht möglich, sondern nur im Rahmen einer Operation (operative Stellungskorrektur).
Für die Operation des Hallux valgus steht eine Vielzahl an Verfahren zur Verfügung, die sich teils nur in Details voneinander unterscheiden. Da ein Hallux valgus über verschiedene Mechanismen in seiner Fehlstellung gehalten wird, ist es wichtig, dass die Operation alle wichtigen Ansätze zur Korrektur berücksichtigt und ganz an die individuelle Situation angepasst wird (Grad des Hallux valgus, vorhandene Begleiterkrankungen des Fußes etc.). Bei Möglichkeit wird die Operation von mir mit der Operationsmethode nach Bösch durchgeführt, einer speziellen minimal-invasiven Operationstechnik. Nach dem Eingriff ist eine sofortige Belastung des Fußes möglich, für etwa sechs Wochen nach der Operation muss ein Spezialschuh getragen werden, durch welchen die Belastung des Fußes reduziert wird.
Operationen werden von mir im Evangelischen Krankenhaus Wien und in der Privatklinik Döbling durchgeführt, die Nachbehandlung erfolgt in der Ordination.
Bei Fragen zur Behandlung des Hallux valgus und anderer Fehlstellungen (z. B. Hammerzehen, Krallenzehen, Spreizfuß) bin ich in der Ordination gerne für Sie da.