Fußoperationen

Unter Fußschäden leiden rund 60 Prozent der Erwachsenen in unseren Breiten. Die meisten Fußfehlstellungen können mit einer nicht-invasiven Therapie, also mit Einlagen, Bandagen oder orthopädischen Spezialanfertigungen behandelt werden.
Meine Praxis steht einmal in der Woche ganz im Zeichen des Fußes, wobei ich mit einem Orthopädietechniker direkt vor Ort kooperiere, um die jeweilige Fehlstellung meiner Patienten optimal korrigieren zu können.
Bei anhaltenden Beschwerden und einer deutlichen Fehlstellung wie etwa dem Hammerzeh, der Krallenzehe, dem Hallux valgus oder dem Schneiderballen der 5. Zehe aber sind Korrekturoperationen erforderlich.
Hammerzehe und Krallenzehe sind schmerzhafte Fehlstellungen, die im Bereich der zweiten bis fünften Zehe auftreten können. Wenn eine entlastende Therapie nicht ausreicht und starke Schmerzen vorliegen, kann eine Operation helfen. Diesen Eingriff führe ich minimal-invasiv durch, das heißt, dass lediglich über eine Stichinzision und nicht über einen tatsächlichen Hautschnitt gearbeitet wird. Bei dieser Operationsmethode an den Zehen werden auch die betroffenen Gelenke nicht wie sonst üblich alteriert oder sogar zerstört, sondern diese bleiben großteils unangetastet und erhalten. Nach dem Setzen einer speziellen Narkose mit Lokalanästhetika und anderen Medikamenten sind Sie für zwölf Stunden nach der Operation schmerzfrei, danach kommen keine großen Schmerzen mehr auf. Dafür sorgt auch eine penible und umsichtige Schmerztherapie. Auf Wunsch Wird der Eingriff in „seichter Narkose“ durchführen.
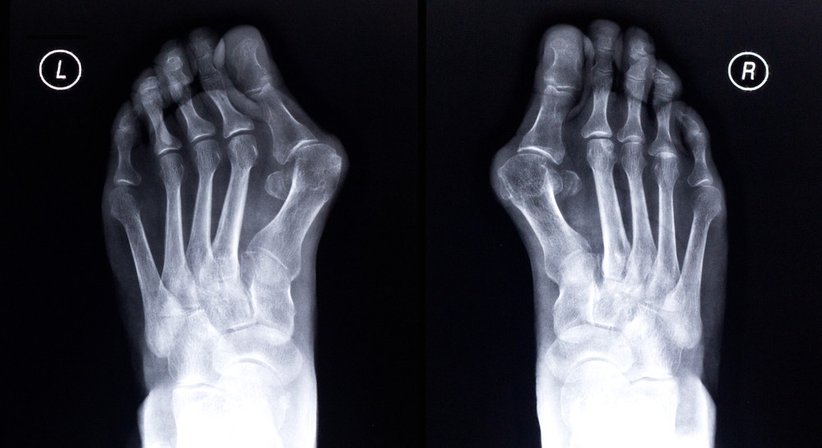
Beim Hallux valgus handelt es sich um eine chronische Schiefstellung der Großzehe, die in vielen Fällen anfangs nur geringe Beschwerden verursacht, in weiterer Folge aber zu schmerzhaften Symptomen führen kann. Leider können die Umstellung auf flaches Schuhwerk mit genügend Freiraum für die Zehen und die Behandlung mit korrigierenden Einlagen nur im Anfangsstadium helfen. Beides kann eine einmal aufgetretene Fehlstellung nicht rückgängig machen. Hier hilft nur eine Operation, und im Fall von Schmerzen rate ich zu diesem Eingriff.
Welche Operationsmethode dann zum Einsatz kommt, hängt von der Ausprägung des Hallux valgus und den bestehenden Beschwerden ab. Nach Analyse der Röntgenbilder und einem persönlichen Gespräch fällt die Entscheidung für eine offene oder eine innovative minimal-invasive Operation mit einer speziellen Lokalanästhesie bzw. auf Wunsch auch in zusätzlicher „seichter Narkose“. Wesentliche Schmerzen brauchen Sie in der postoperativen Phase nicht zu fürchten, denn sie werden zusätzlich mit modernster Schmerztherapie versorgt.
Häufig ist zudem das Problem des Schneiderballen der 5. Zehe, bei dem es im Bereich der fünften Zehe zu einer Fehlstellung in Form eines Spreizfußes oder einer Fehlstellung des fünften Mittelfußknochens kommen kann. Einlagenversorgung ist hier eine Möglichkeit bzw. kann auch ein minimal-invasiver Eingriff oft Abhilfe schaffen.
Was auch immer Ihr Fußproblem ist, wenden Sie sich vertrauensvoll an mich.
Ich verfüge auch in diesem Bereich über große Erfahrung und führe pro Jahr rund 120 Eingriffe an Füßen durch.