DVT - Digitale Volumentomographie

DVT - Digitale Volumentomographie - Dr. Thomas Mader - Radiologe Mödling 2340
1/2
DVT - Digitale Volumentomographie - Dr. Thomas Mader - Radiologe Mödling 2340
2/2

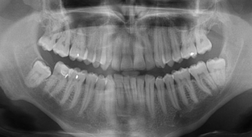
Dieses Gerät ermöglicht neben digitalen 2D-Zahnpanoramaaufnahmen mit variabler Fokuszonentechnologie auch die Durchführung von Aufnahmen mittels 3D-digitaler Volumentomographie (DVT).

Anwendungsgebiet sind u.a.:

  • Planung von Zahnimplantaten
  • Kiefer/Zahn Erkrankungen
  • Kiefergelenke
  • Nasennebenhöhlen
  • Cephalographie

Die dreidimensionalen Aufnahmen werden im Standardformat DICOM generiert. Dies vereinfacht die Weitergabe der angefertigten, hochauflösenden Bilder per USB-Stick oder CD-Rom an Sie zur weiteren Behandlungsplanung mit Ihrem Zahnarzt.

Zur Vorbereitung einer Implantation erstellen wir Ihrem Wunsch entsprechend entweder einen Datensatz mit Befund (€ 110 + 10% MwSt.) oder einen Datensatz ohne Befund (90 € + 10% MwSt.).
Die DVT ist eine Privatleistung.

Eine Anmeldung ist nicht erforderlich (Mo-Do 07:00 - 17:30, Fr 07.00 - 15.30).

Weitere Infos entnehmen Sie bitte unserer Homepage oder rufen Sie uns an!

Erweitertes Profil (entgeltlich). Aktualität, Richtigkeit und Vollständigkeit der Daten ohne Gewähr.