Kontrastmitteluntersuchungen von Magen, Darm, Nieren und Venen

Kontrastmitteluntersuchungen von Magen, Darm, Nieren und Venen - Dr. Axel Gebauer - Radiologe Baden 2500
1/3
Kontrastmitteluntersuchungen von Magen, Darm, Nieren und Venen - Dr. Axel Gebauer - Radiologe Baden 2500
2/3
Kontrastmitteluntersuchungen von Magen, Darm, Nieren und Venen - Dr. Axel Gebauer - Radiologe Baden 2500
3/3

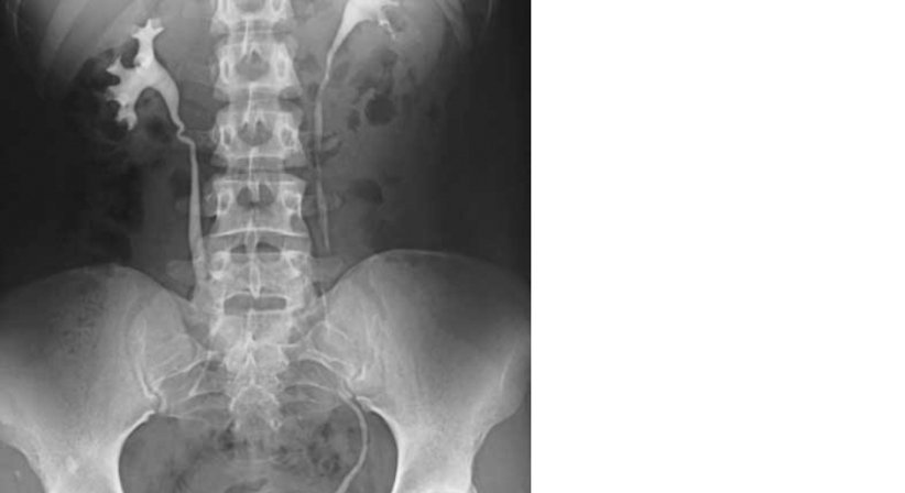
Im Rahmen von Röntgenuntersuchungen können durch die Verabreichung spezieller Kontrastmittel Innere Organe untersucht werden.

Für die Untersuchungen des Magens wird Kontrastmittel getrunken, für den Dickdarm wird ein Kontrasmitteleinlauf vorgenommen.

Zur Untersuchung der Nieren oder der Beinvenen wird Kontrastmittel in eine Vene injiziert.

Erweitertes Profil (entgeltlich). Aktualität, Richtigkeit und Vollständigkeit der Daten ohne Gewähr.