Magnetresonanztomographie




Die Magnetresonanztomographie funktioniert auf der Basis von elektromagnetischen Impulsen (ähnlich den herkömmlichen Radiowellen). Durch diese werden im Körper befindliche Wasserstoffkerne, die in den verschiedenen Geweben unterschiedlich dicht anzutreffen sind, zu einer kurzen Bewegung angeregt, die dann wiederum mittels sehr sensibler Sensoren gemessen werden kann. Die gesammelten Daten werden mittels Computer in Schnittbilder umgerechnet.
Bisher hat man keine negativen Auswirkungen auf den Organismus feststellen können, was die Methode zu einer Hoffnung für die Zukunft und zu einem heftig bearbeiteten Forschungsgebiet macht.
Die meisten Geräte, wie auch unseres, sind röhrenförmig konstruiert, in diese Tunnels wird der Patient gelagert. Sollte man Platzangst verspüren (die Untersuchungen dauern mit ca. 20 Minuten etwas länger als eine CT und sind von einem manchmal lauten Knattern begleitet), kann dem durch die Gabe eines milden Beruhigungsmittels Abhilfe geschaffen werden. (Manche Apparate sind in Rücksicht auf diese Problemstellung wie ein großer Sandwich gebaut, so dass der Untersuchte auf der Seite hinausschauen kann, diese Geräte sind aber von einer nur geringeren Leistungsfähigkeit.)
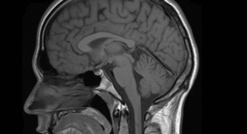
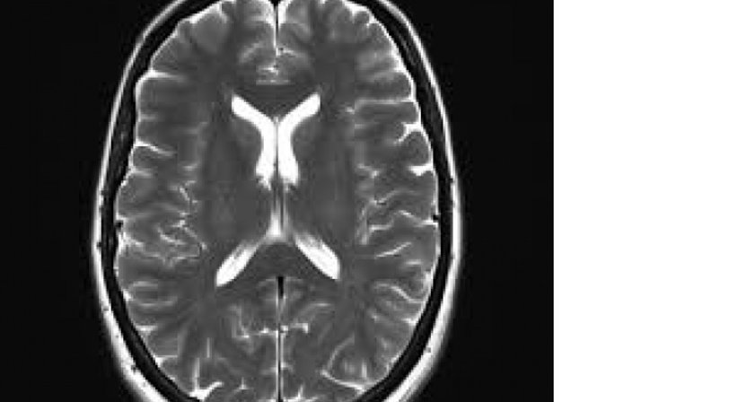
Die hohen Kosten der Untersuchung wird durch eine herausragende Bildqualität und einen hohen diagnostischen Wert gerechtfertigt. Durch die Verabreichung von speziellem Kontrastmittel kann die Aussagekraft der Untersuchung noch gesteigert werden. Besonders im neurologischen Bereich, also zur Beurteilung des Gehirnes, ist diese Methode unübertroffen, im Brustraum aber liefert beispielsweise die CT mehr Information.