Prostatakrebstherapie ohne OP

Bei der Strahlentherapie werden hochenergetische Strahlen eingesetzt, um Prostatakrebszellen abzutöten. Es handelt sich um eine Behandlungsoption für fast alle Krebsstadien, von Tumoren im Frühstadium bis hin zu fortgeschrittenem und metastasiertem Prostatakrebs.
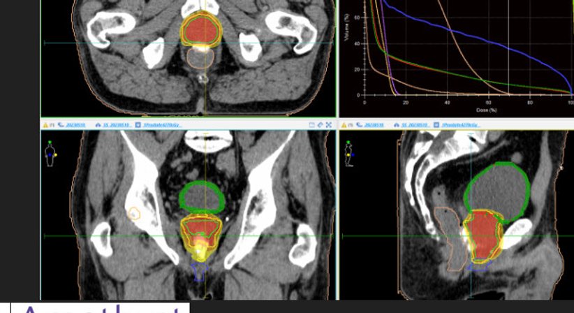
Unser Radioonkologie-Team bei Amethyst Radiotherapyrepräsentiert das größte europaweite Netzwerk von High-Tech-Strahlentherapiezentren. Unsere Ärzte sind bestrebt, modernste Strahlentherapiebehandlungen anzubieten, die Krebs wirksam bekämpfen und gleichzeitig das Risiko von Nebenwirkungen minimieren. Eine dieser innovativen Methoden sind Hydrogel-Abstandshalter.
Bei dieser Technik wird ein absorbierbares Gel verwendet, das vorübergehend einen Spalt zwischen Prostata und Rektum schafft und so das Risiko einer Darmbestrahlung während der Behandlung deutlich verringert. Hydrogel-Abstandshalter verbessern außerdem das Tumor-Targeting und reduzieren die Gesamtzahl der Behandlungssitzungen von 39 auf 7. Das bedeutet, dass Sie Ihre Behandlung in 2,5 Wochen statt in 8 Wochen abschließen können. Die Methode wird bei lokalisiertem Prostatakrebs eingesetzt.
Zu den bei der Amethyst-Strahlentherapie verfügbaren Bestrahlungstechniken gehören:
• Bildgesteuerte VMAT-Strahlentherapie
Die volumetrisch modulierte Lichtbogentherapie (VMAT) ist eine der fortschrittlichsten Techniken der externen Strahlentherapie. Dabei kommt eine Linearbeschleunigermaschine zum Einsatz, die sich im Liegen um den Patienten dreht. Das Gerät gibt Strahlungsdosen präzise an die Tumorstelle ab und begrenzt gleichzeitig die Strahlungsmenge, die das umliegende gesunde Gewebe erhält.
• Stereotaktische Körperstrahlentherapie (SBRT)
Amethyst Radiotherapy ist eines der wenigen privaten Zentren in Europa, das SBRT-Strahlentherapie anbietet, und das einzige in Österreich. SBRT ist eine hochmoderne Strahlentherapietechnik, die die Strahlentherapiebehandlung in wenigen Sitzungen umfassen kann, indem höhere Strahlendosen sicher und effizient abgegeben werden. SBRT ist eine effiziente Behandlungsoption sowohl für Metastasen/Lymphknoten als auch für kleine PET-positive Rückfälle bei Patienten, die zuvor eine Strahlentherapie erhalten haben.