Folgen von Zahnverlust

Folgen von Zahnverlust - Dr. Thomas Pawlowski - Zahnarzt Wien 1010
1/1

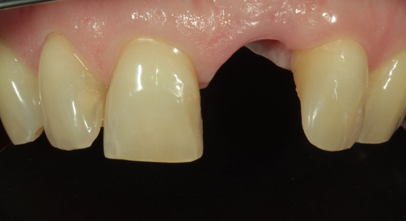
Die Folgen von Zahnverlust sind vielfältig. Zahnverlust kann mit ästhetischen und funktionellen Beeinträchtigungen einhergehen. Durch den fehlenden Zahn fehlt der Antagonist als Gegenspieler, welcher beim Kieferschluss einen bestimmten Zahn im gegenüberliegenden Kiefer berührt.

Als unmittelbare Folge eines fehlenden Zahnes kann es zu Knochenabbau kommen, gleichzeitig werden die noch verbleibenden Zähne häufig über- und fehlbelastet. Auch das Aussehen und die Mimik können beeinträchtigt sein, darüber hinaus kann sich Zahnverlust ungünstig auf die Kaufunktion bzw. den Kaukomfort und auf die Aussprache auswirken.

Erweitertes Profil (entgeltlich). Aktualität, Richtigkeit und Vollständigkeit der Daten ohne Gewähr.