Parodontologie

Der Zahnhalteapparat fixiert den Zahn im Kiefer und sorgt dafür, dass Zähne stabil in ihrer Lage bleiben. In der Parodontologie geht es um die Gesunderhaltung dieses Systems und die Diagnose und Behandlung von Zahnfleischerkrankungen.
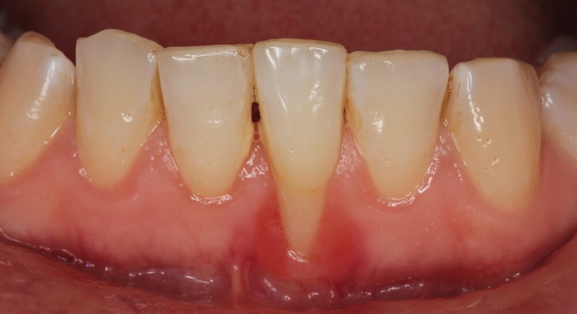
Eine Parodontitis (Parodontose) wird durch Bakterienansammlungen in Form von Zahnbelägen ausgelöst. Dabei können einfache Zahnfleischentzündungen auf das umliegende Gewebe übergreifen und auch eine Entzündung des Zahnfleisches (Gingivitis) verursachen. Bleiben die Entzündungen unbehandelt, bildet sich das Zahnfleisch zurück, Zähne können sich lockern und ausfallen. Die Erkrankung kann auch zur Gefahr für den ganzen Körper werden, da sich die Entzündung ausbreiten kann.
Parodontitistherapie
Eine Parodontitisbehandlung ist bei rechtzeitiger Diagnose in der Regel ohne chirurgischen Eingriff möglich. Stattdessen werden die Zahnfleischtaschen mittels spezieller Instrumente gründlich gereinigt. Die Behandlung verursacht in der Regel nur geringe Schmerzen, da sie auch unter lokaler Betäubung durchgeführt werden kann. Um die Erkrankung auf Dauer zu verbessern, ist eine regelmäßig durchgeführte Parodontitis-Nachsorge bei einer Parodontose-Behandlung Pflicht: Parodontose muss ein Leben lang beobachtet und behandelt werden.
Wir beraten Sie auch gerne darüber, wie Sie als Patient zum Gelingen der Behandlung beitragen können.
Ist der Abbau des Gewebes bereits sehr weit fortgeschritten, kann es nötig werden, parodontalchirurgische Eingriffe vorzunehmen. Die Verfahren umfassen die chirurgische Entfernung bakteriell befallener Gewebe, Zahnentfernungen, chirurgische Wurzelbehandlungen, Zahnfleischkorrekturen, Bindegewebstransplantate oder Knochenaufbauverfahren. Wir informiere Sie gerne über Ihre individuellen Risikofaktoren als auch mögliche Therapieoptionen und führen diese auch in unserer Praxis durch.