Parodontalchirurgische Eingriffe

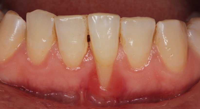
Werden Bakterien im Bereich des Zahnfleischrandes nicht ausreichend durch zahnprophylaktische Maßnahmen wie z.B. der professionellen Mundhygiene beseitigt, kann es zu einer Zahnfleischentzündung, der sogenannten Gingivitis, kommen. Besteht die Entzündung eine Zeit lang unbehandelt fort, breiten sich die Bakterien immer weiter aus und greifen schlussendlich auch das tiefer gelegene Knochengewebe an. In diesem Stadium spricht man bereits von einer Parodontitis, also einer chronischen Entzündung des Zahnhalteapparates.
Schreitet der Knochenabbau unbemerkt voran, kann es in Folge zu einer Lockerung der Zähne und zum Zahnverlust kommen. Zudem können die Bakterien und Entzündungsstoffe über das Zahnfleisch in den Blutkreislauf gelangen und somit den gesamten Organismus belasten. So besteht u.a. ein wissenschaftlich belegter Zusammenhang zwischen Parodontitis und der damit einhergehenden Verschlimmerung von bestehenden Herz-Kreislauferkrankungen. Auch die Einstellung des Blutzuckes bei Diabetikern wird aufgrund des Entzündungsherdes deutlich erschwert.
Mithilfe einer Parodontitistherapie kann der Knochenabbau langfristig gestoppt werden. Die Behandlung verfolgt das Ziel, den bakteriellen Biofilm restlos zu entfernen und somit weitere Entzündungen des Zahnfleisches zu vermeiden.
Bei fortgeschrittener Parodontitis bzw. sehr tiefen Zahnfleischtaschen (ab ca. 6 mm Tiefe) reicht jedoch in der Regel eine konventionelle Parodontitisbehandlung mittels professioneller Mundhygiene nicht mehr aus. Hierbei ist meist ein parodontalchirurgischer Eingriff notwendig, der dank moderner Operationsmethoden sehr schonend gestaltet werden kann.
Ich stehe Ihnen gerne für ein ausführliches Beratungsgespräch zur Verfügung!