Parodontalbehandlung

Parodontalbehandlung - Dr. med.dent. Thomas Schillinger - Zahnarzt Wien 1130
1/1

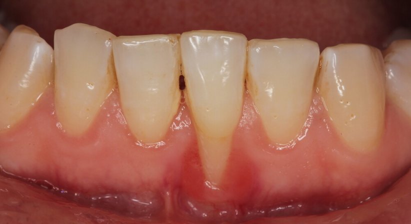
Parodontitis bezeichnet eine entzündliche Zahnfleischerkrankung, die durch bakteriellen Zahnbelag (Plaque) verursacht wird. Sie gehört zu den häufigsten Erkrankungen des Zahnhalteapparates und kann unbehandelt zu Zahnverlust führen.

 

Mithilfe einer individuell ausgerichteten Parodontalbehandlung soll das Risiko eines Zahnverlustes minimiert und somit der Erhalt der eigenen Zähne verlängert werden.

 

In einem ersten Schritt werden die Zähne von weichen und harten Zahnbelägen befreit. Zudem erhält der Patient wichtige Tipps zur richtigen häuslichen Mundhygiene. Besteht eine behandlungsbedürftige Parodontitis, kann mittels komplexer Therapien gegen die Entzündung vorgegangen werden. Dazu werden die Zahnfleischtaschen genau vermessen und in mehreren Sitzungen regelmäßig gereinigt. In manchen Fällen erfolgt eine Begleittherapie in Form von Antibiotikagabe.

 

Weichgewebschirurgie

 

Mithilfe der Weichgewebschirurgie lassen sich freiliegende Zahnhälse mit einem transplantierten Gewebe (meist aus der Gaumenschleimhaut) überdecken. Dieses verwächst mit dem umliegenden Zahnfleisch, wodurch der Zahn wieder dicht umschlossen und natürlich schön wirkt.

 

Weitere Informationen zum genauen Behandlungsablauf erhalten Sie gerne in einem persönlichen Gespräch!

Erweitertes Profil (entgeltlich). Aktualität, Richtigkeit und Vollständigkeit der Daten ohne Gewähr.