Krone (Keramikkronen)




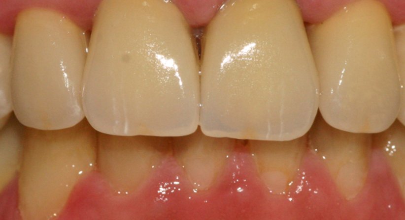
Bei einer Zahnkrone handelt es sich um eine Form von Zahnersatz, welche bei geschädigten Zähnen, die durch eine Füllung nicht mehr zu retten sind vom Zahnarzt eingesetzt werden, um den betroffenen Zahn abzudichten, zu stabilisieren und seine Funktion wiederherzustellen.
Es gibt unterschiedliche Arten von Zahnkronen, darunter Verblendmetallkronen und Keramikkronen. Zahnkronen aus Keramik haben den Vorteil, dass sie metallfrei sind und als solche mit einer ausgezeichneten Verträglichkeit einhergehen. Dank heutiger Hochleistungskeramiken können Kronen angefertigt werden, welche mit einer ähnlichen Stabilität einhergehen wie Kronen aus Metall, gleichzeitig ist eine Zahnkrone aus Keramik hinsichtlich ihrer Optik weitaus natürlicher und ästhetischer als eine Krone aus Metall (Verblendmetallkronen können unter Umständen im Zahnhalsbereich durch die Schleimhaut schimmern oder im Fall von Zahnfleischrückgang durch einen dunklen Rand sichtbar werden.).
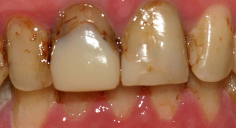
Kronen aus Keramik sind besonders geeignet...
- wenn Zähne stark durch Karies zerstört sind.
- nach einer Wurzelbehandlung.
- nach einem Kronenbruch.
- wenn Zähne fehlende Kontaktstellen aufweisen.
- bei Implantatversorgungen.
In der Zahnklinik verfügen wir über langjährige Erfahrung mit unterschiedlichen Kronenarten und können Patienten mit unterschiedlichsten Problemstellungen und Bedürfnissen zuverlässige und hochästhetische Lösungen anbieten.
Zahnkronen aus Keramik werden im hausinternen Labor nach dem CAD/CAM-Verfahren hergestellt (CAD: computer aided design - computerunterstütztes Konstruieren; CAM: computer aided manufacturing - computerunterstützte Herstellung).
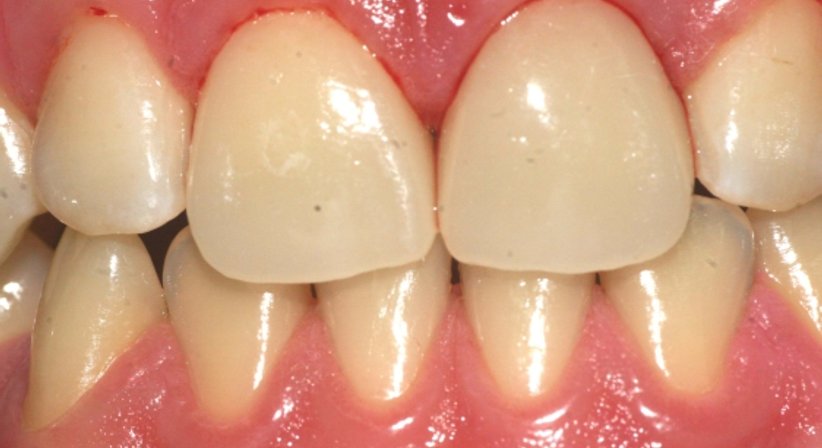
Zu Beginn wird die Karies bzw. die alte Füllung entfernt. Anschließend wird mit einer intraoralen Kamera eine dreidimensionale Aufnahme vom Zahn erstellt, der Patient sitzt hierbei bereits bequem auf dem Behandlungsstuhl - das Abformen, welches einst notwendig war, um einen defekten Zahn zu sanieren entfällt gänzlich. Im nächsten Schritt wird die Zahnrestauration am Bildschirm konstruiert (CAD), anschließend wird die Krone von der Schleifeinheit aus einem Keramikblock gefräst. Die Keramikblöcke sind in vielen verschiedenen Helligkeits- und Farbstufen verfügbar, sodass die Krone nicht nur hinsichtlich ihrer Dimensionen, sondern auch hinsichtlich ihrer Farbe perfekt an den Zahn angepasst werden kann. Nach einer Kontrolle der Passgenauigkeit und einem Glanzbrand wird die Krone zeitnah eingesetzt und ist von da an optisch nicht mehr von den natürlichen Zähnen zu unterscheiden.
Vorteile von Kronen aus Keramik:
- Kronen aus Keramik erfüllen höchste funktionelle Anforderungen und stabilisieren und schützen den Zahn optimal.
- Gute Temperaturisolation
- Hohe Belastungsstabilität und Zuverlässigkeit
- Metallfreie Restauration; hohe biologische Verträglichkeit
- Perfekte Ästhetik
- Geringere Plaqueanhaftung
Vorteile von CAD/CAM:
- Kein Abformen mit Silikonmasse erforderlich
- Geringeres Risiko für Verarbeitungsfehler (Lufteinschlüsse, Verunreinigungen)
- Gutes Preis-Leistungsverhältnis