Sie finden unsere Praxis im Herzen von Linz, an der Kreuzung Schillerstraße-Südtirolerstraße
Erreichbarkeit...
Sie finden unsere Praxis im Herzen von Linz, an der Kreuzung Schillerstraße-Südtirolerstraße
Erreichbarkeit mit dem Auto:
- Kurzparkzone vor dem Haus
Erreichbarkeit mit dem öffentlichen Verkehr:
- Straßenbahnlinien 1, 2, 3: Station "Bürgerstraße" oder "Goethekreuzung" - 5 Min. Fußweg
Allgemeine Informationen
Wir sind eine ganzheitliche amalgamfreie Ordination für mikroinvasive Zahnmedizin.
Die Arbeitsweise erfolgt zu 100% unter...
Allgemeine Informationen
Wir sind eine ganzheitliche amalgamfreie Ordination für mikroinvasive Zahnmedizin.
Die Arbeitsweise erfolgt zu 100% unter mikroinvasiven Bedingungen (das heißt jeder Arbeitsschritt wird unter 4-5-facher optischer Vergrößerung ausgeführt-das sind 25-mal mehr Details sichtbar als mit dem freien Auge). Angestrebte Genauigkeit- 0,8- 0,9 mm.
Das Auge isst mit..
Die Freude über eine gelungene Restauration strahlt noch schöner in ein entsprechendes Ambiente. Ein voll renoviertes Jungendstillhaus im Zentrum von Linz bittet die richtige Umgebung wo 20 Jahre Erfahrung in der microinvasiven Zahnmedizin gepaart mit moderne Arbeistechnologien zu ihren Dienste stehen.
Das Leistungsspektrum ist unter diesen Bedingungen sehr breit von Parodontaltherapie mit Orthomolekularen Zellnunterstützung bis zur kosmetischen Zahnheilkunde, Implantatlösungen und hochwertige Prothetik.
Jede Behandlung auf Wunsch auch in Intubationsnarkose mit perfekt ausgestattete und sehr erfahrene Narkoseteams.
Ich nehme mir ausreichend Zeit für ihre Beratung, ruhig auch 1 Stunde falls notwendig, und gehe alle Fragen und Vorstellungen mit Ihnen gemeinsam durch.
Es gibt keine verbotenen Fragen
und es gibt keine Probleme es gibt nur Lösungen
Patientenmeinungen und Behandlungsergebnisse in dem folgenden Videofilm:
Ich freue mich, wenn ich Ihnen helfen kann.
Ihr,
Dr. Stefan Wilson
Allgemeine Informationen
Wir sind eine ganzheitliche amalgamfreie Ordination für mikroinvasive Zahnmedizin.
Die Arbeitsweise erfolgt zu 100% unter mikroinvasiven Bedingungen (das heißt jeder Arbeitsschritt wird unter 4-5-facher optischer Vergrößerung ausgeführt-das sind 25-mal mehr Details sichtbar als mit dem freien Auge). Angestrebte Genauigkeit- 0,8- 0,9 mm.
Das Auge isst mit..
Die Freude über eine gelungene Restauration strahlt noch schöner in ein entsprechendes Ambiente. Ein voll renoviertes Jungendstillhaus im Zentrum von Linz bittet die richtige Umgebung wo 20 Jahre Erfahrung in der microinvasiven Zahnmedizin gepaart mit moderne Arbeistechnologien zu ihren Dienste stehen.
Das Leistungsspektrum ist unter diesen Bedingungen sehr breit von Parodontaltherapie mit Orthomolekularen Zellnunterstützung bis zur kosmetischen Zahnheilkunde, Implantatlösungen und hochwertige Prothetik.
Jede Behandlung auf Wunsch auch in Intubationsnarkose mit perfekt ausgestattete und sehr erfahrene Narkoseteams.
Ich nehme mir ausreichend Zeit für ihre Beratung, ruhig auch 1 Stunde falls notwendig, und gehe alle Fragen und Vorstellungen mit Ihnen gemeinsam durch.
Es gibt keine verbotenen Fragen
und es gibt keine Probleme es gibt nur Lösungen
Patientenmeinungen und Behandlungsergebnisse in dem folgenden Videofilm:
Ich freue mich, wenn ich Ihnen helfen kann.
Ihr,
Dr. Stefan Wilson
Beliebte Leistungen

Parodontosetherapie und Orthomolekularen Medizin

Teleskopprothese

Mikroinvasive kosmetische Zahnheilkunde: Zirkonkronen und Veneers

Behandlung mit Laser

Behandlung in Narkose
Erreichbarkeit
Sie finden unsere Praxis im Herzen von Linz, an der Kreuzung Schillerstraße-Südtirolerstraße
Erreichbarkeit mit dem Auto:
- Kurzparkzone vor dem...
Sie finden unsere Praxis im Herzen von Linz, an der Kreuzung Schillerstraße-Südtirolerstraße
Erreichbarkeit mit dem Auto:
- Kurzparkzone vor dem Haus
Erreichbarkeit mit dem öffentlichen Verkehr:
- Straßenbahnlinien 1, 2, 3: Station "Bürgerstraße" oder "Goethekreuzung" - 5 Min. Fußweg
Beliebte Leistungen

Parodontosetherapie und Orthomolekularen Medizin
Parodontose ist eine heimtückische Krankheit die, lange Zeit vom Patienten unbemerkt, zum Knochenabbau und Verlust der Zähne führt.
Die starke Entzündung im...

Teleskopprothese
Teleskopprothesen gehören zum herausnehmbaren Zahnersatz, das heißt sie werden in der Regel morgens eingesetzt und vor dem Schlafengehen wieder...

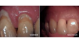
Mikroinvasive kosmetische Zahnheilkunde: Zirkonkronen und Veneers
Das Lächeln ist die Tür zu der Seele
Ob beim Lachen oder Sprechen, unsere Vorderzähne sind für jedermann sichtbar, und sie spielen eine große Rolle für...

Behandlung mit Laser
Behandlungen mit Laser setzen sich in der Zahnmedizin immer mehr durch. Der hochgebündelte Energiestrahl eines Lasers kann Gewebe schmerz- und blutfrei...

Behandlung in Narkose
Zahnbehandlungen
sind nur selten angenehm. Zwar gibt es mittlerweile eine Reihe von schmerzfreien Behandlungen, aber besonders bei größeren Eingriffen...
Krankenkassen
- Wahlarzt
Ordinationszeiten
Heute geöffnet
13:00–20:00
Ordinationszeiten
-
Montag
13:00 - 20:00
-
Dienstag
13:00 - 20:00
-
Mittwoch
09:00 - 16:00
-
Donnerstag
13:00 - 20:00
- Freitag Geschlossen
- Samstag Geschlossen
- Sonntag Geschlossen
Terminvereinbarung erforderlich
Erstberatungstermine auch Samstag möglichGesprochene Sprachen
Gesprochene Sprachen
- Deutsch
- Englisch
Ausbildung: Fachberechtigung & Zusatzgebiete
Ausbildung: Fachberechtigung & Zusatzgebiete
- Zahn-, Mund- u. Kieferheilkunde
Diplome & Zertifikate
Diplome & Zertifikate
- Zahnärztliches Fortbildungsdiplom
Fotos & Videos
Krankenkassen
- Wahlarzt
Ordinationszeiten
Heute geöffnet
13:00–20:00
Ordinationszeiten
-
Montag
13:00 - 20:00
-
Dienstag
13:00 - 20:00
-
Mittwoch
09:00 - 16:00
-
Donnerstag
13:00 - 20:00
- Freitag Geschlossen
- Samstag Geschlossen
- Sonntag Geschlossen
Terminvereinbarung erforderlich
Erstberatungstermine auch Samstag möglichGesprochene Sprachen
Gesprochene Sprachen
- Deutsch
- Englisch
Ausbildung: Fachberechtigung & Zusatzgebiete
Ausbildung: Fachberechtigung & Zusatzgebiete
- Zahn-, Mund- u. Kieferheilkunde
Diplome & Zertifikate
Diplome & Zertifikate
- Zahnärztliches Fortbildungsdiplom
Fotos & Videos
Weitere Ärzte im Umkreis

Dr. med. dent. Konstantin Pischel, Msc.
Zahnarzt (in [[ calculateDistanceTo([14.294703,48.301817]) ]] km)
Dr. Ingo Moosbauer
Zahnarzt (in [[ calculateDistanceTo([14.289423,48.296823]) ]] km)
Dr. Lucas Eidenberger, MSc
Zahnarzt, Schwerpunkt: Parodontologie, Schwerpunkt: Implantologie (in [[ calculateDistanceTo([14.2974,48.30248]) ]] km)
Dr. med. univ. et med. dent. Walther Thaler
Zahnarzt (in [[ calculateDistanceTo([14.2885551,48.304161]) ]] km)
Dr. Thomas Weinberger, M.Sc.
Zahnarzt (in [[ calculateDistanceTo([14.2969677,48.3064124]) ]] km)
Dr. Ulrike Leiner-Grassner
Zahnärztin (in [[ calculateDistanceTo([14.296287,48.301455]) ]] km)
Dr.med.dent. Ulrich Guserl
Zahnarzt (in [[ calculateDistanceTo([14.282346,48.311722]) ]] km)
DDr. Michael Marko
Zahnarzt (in [[ calculateDistanceTo([14.2969677,48.3064124]) ]] km)Dr. Aleksandar Joldzic, MSc
Zahnarzt (in [[ calculateDistanceTo([14.283888,48.310108]) ]] km)DDr. Christoph Lukas Sacher
Zahnarzt, Kieferchirurg (in [[ calculateDistanceTo([14.2874984,48.2939911]) ]] km)Beiträge aus dem Fachbereich

Kieferorthopädische Behandlungen - Experten-Interview mit Univ.-Prof. DDr. Erwin Jonke

Gesunde Kinderzähne von Anfang an – die besten Tipps

Zahnfleischentzündung (Gingivitis)

Kieferklemme und Kiefersperre

Kieferorthopädische Behandlungen - Experten-Interview mit Univ.-Prof. DDr. Erwin Jonke

Gesunde Kinderzähne von Anfang an – die besten Tipps

Zahnfleischentzündung (Gingivitis)

Kieferklemme und Kiefersperre
Gesamtbewertung
Weitere Bewertungen5 Punkte |
|
88% |
4 Punkte |
|
3% |
3 Punkte |
|
2% |
2 Punkte |
|
3% |
1 Punkt |
|
4% |
Detailbewertungen anzeigen
Detailbewertungen
Erklärung zum BewertungssystemEinfühlungsvermögen des Arztes |
4,8
|
(119) |
Serviceangebot |
4,8
|
(119) |
Betreuung durch Arzthelfer |
4,8
|
(119) |
Praxisaustattung / Räumlichkeiten |
4,8
|
(119) |
Zufriedenheit mit der Behandlung |
4,7
|
(119) |
Vertrauen zum Arzt |
4,8
|
(119) |
Wartezeit im Warteraum |
4,4
|
(119) |
Wartezeit auf Termin |
4,7
|
(115) |
Erfahrungsberichte
Lebensqualität zurückgewonnen
Einfühlungsvermögen des Arztes |
|
Vertrauen zum Arzt |
|
Zufriedenheit mit der Behandlung |
|
Serviceangebot |
|
Praxisaustattung / Räumlichkeiten |
|
Betreuung durch Arzthelfer |
|
Wartezeit im Warteraum |
|
Wartezeit auf Termin |
|
Zahnerhalt statt Resignation – Dr. Wilson macht’s möglich
Einfühlungsvermögen des Arztes |
|
Vertrauen zum Arzt |
|
Zufriedenheit mit der Behandlung |
|
Serviceangebot |
|
Praxisaustattung / Räumlichkeiten |
|
Betreuung durch Arzthelfer |
|
Wartezeit im Warteraum |
|
Wartezeit auf Termin |
|
Ein neues Lebensgefühl dank professioneller Zahnbehandlung
Einfühlungsvermögen des Arztes |
|
Vertrauen zum Arzt |
|
Zufriedenheit mit der Behandlung |
|
Serviceangebot |
|
Praxisaustattung / Räumlichkeiten |
|
Betreuung durch Arzthelfer |
|
Wartezeit im Warteraum |
|
Wartezeit auf Termin |
|
Nicht jeder ist willkommen
Ich war im Dezember 23 einmalig zur Beratung dort, konnte mich jedoch nicht sofort zu einer (wahrscheinlich sehr teuren) Behandlung entschließen und sagte den Folgetermin auch rechtzeitig ab.
Als ich mich daraufhin wieder meldete, hieß es "Aufnahmestopp".
Ich ließ es meinen Mann versuchen, der bekam prompt einen Termin.
Als ich die Ehegattin und Assistentin am Telefon damit konfrontierte, gab es nur Ausreden und mir wurde gesagt, ich solle mir einen anderen Zahnarzt suchen.
Herr Dr Wilson und Frau Wilson!
Auch wenn Ihnen das als Arzt natürlich zusteht, sich die Patienten auszusuchen, finde so etwas unmenschlich und unseriös.
Auch Sie haben einmal den Eid des Hippokrates geschworen, Menschen in Not zu helfen!
Zu dem Image, das auf der Homepage vermittelt wird (Zitat "Wir nehmen uns Zeit ...", Feng Shui usw), passt das jedenfalls nicht!
Einfühlungsvermögen des Arztes |
|
Vertrauen zum Arzt |
|
Zufriedenheit mit der Behandlung |
|
Serviceangebot |
|
Praxisaustattung / Räumlichkeiten |
|
Betreuung durch Arzthelfer |
|
Wartezeit im Warteraum |
|
Wartezeit auf Termin |
|
perfekt für Angstpatienten, Zahnmedizin auf Weltklasse Niveau, super freundliches Team!
Einfühlungsvermögen des Arztes |
|
Vertrauen zum Arzt |
|
Zufriedenheit mit der Behandlung |
|
Serviceangebot |
|
Praxisaustattung / Räumlichkeiten |
|
Betreuung durch Arzthelfer |
|
Wartezeit im Warteraum |
|
Wartezeit auf Termin |
|
Detailbewertungen anzeigen
Detailbewertungen
Erklärung zum BewertungssystemEinfühlungsvermögen des Arztes |
4,8
|
(119) |
Serviceangebot |
4,8
|
(119) |
Betreuung durch Arzthelfer |
4,8
|
(119) |
Praxisaustattung / Räumlichkeiten |
4,8
|
(119) |
Zufriedenheit mit der Behandlung |
4,7
|
(119) |
Vertrauen zum Arzt |
4,8
|
(119) |
Wartezeit im Warteraum |
4,4
|
(119) |
Wartezeit auf Termin |
4,7
|
(115) |
Und jetzt in APRIL 2025 melden Sie sich mit dem Vorwurf einer unseriösen und unethischen Haltung meinerseits , diie gegen den hyppokratischen Eids verstößt,weil Sie aufgrund von eines von mir gesetzten variablen Aufnahmestopps keinen weiteren Behandlungstermin erhalten haben.
Sehr geehrte Patientin ! Sie haben vollkommen Recht dass ich den Ablauf meines Ordinationsbetriebes selbst flexibel gestalten darf und in diesem Sinne teile ich Ihnen auch mit dass wir zum Zeitpunkt Ihres Anrufes einen Aufnahmestopp hatten der von mir zeitlich variabil gestaltet wird weil es mir ein sehr sehr großes Anliegen ist ausreichend Zeit und Energie für meine bestehende Patienten zu haben.
Ich wünsche Ihnen alles Gute bei einem anderen Behandler Ihres Vetrauens .