Teleskopprothese

Teleskopprothese - Dr. Stefan C. Wilson - Zahnarzt Linz 4020
1/4
Teleskopprothese - Dr. Stefan C. Wilson - Zahnarzt Linz 4020
2/4
Teleskopprothese - Dr. Stefan C. Wilson - Zahnarzt Linz 4020
3/4
Teleskopprothese - Dr. Stefan C. Wilson - Zahnarzt Linz 4020
4/4

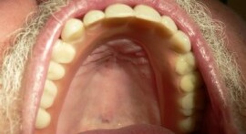
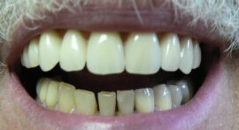
Teleskopprothesen gehören zum herausnehmbaren Zahnersatz, das heißt sie werden in der Regel morgens eingesetzt und vor dem Schlafengehen wieder herausgenommen. 

Im Gegensatz zu einer herkömmlichen Prothese werden jedoch weder Klammern noch Gaumenbügel für die Befestigung benötigt. Die Teleskopprothese wird auf noch bestehenden Pfeilerzähnen befestigt. Alternativ können auch Implantate für die Verankerung eingesetzt werden.

Um die Teleskopprothese zu befestigen, müssen die Zähne, die als Pfeiler dienen sollen, abgeschliffen werden. Auf den abgeschliffenen Zähnen wird eine spezielle Teleskopkrone zementiert. Das Gegenstück wird auf der Innenseite der Prothese angebracht. Beim Einsetzen der Teleskopprothese gleiten das Innenteleskop und das Außenteleskop übereinander und haften durch die Reibung zwischen Ihren Passflächen. Schon zwei Pfeilerzähne genügen für einen optimalen Halt. Für die Teleskopkronen verwende ich in der Regel eine Goldlegierung, da man mit diesem Material die beste Passgenauigkeit erreicht.

Teleskopprothesen können sowohl im Oberkiefer als auch im Unterkiefer eingesetzt werden. Besonders bei einer Oberkieferprothese macht sich der Vorteil der Teleskoptechnik bemerkbar, denn der Gaumen bleibt frei und sorgt bei den Patienten für ein weitgehend natürliches Gefühl beim Sprechen und Essen.

Die Prothese selbst besteht aus Kunststoff, der das Zahnfleisch imitiert. Darauf werden die künstlichen Zähne befestigt, die in Form und Farbe auf eventuell verbleibende Zähne abgestimmt werden. Die Teleskopkronen bleiben unter der eingesetzten Prothese unsichtbar.

Erweitertes Profil (entgeltlich). Aktualität, Richtigkeit und Vollständigkeit der Daten ohne Gewähr.